FOK!forum / Flora & Fauna / Kattenvraagbaak #49
Cue_woensdag 30 augustus 2017 @ 07:12
Voor al je vragen over katten waar je geen apart topic voor aan wil maken.

curious_cat_by_chin2off-d30o46z.jpg
Lienekienwoensdag 30 augustus 2017 @ 07:18
Minthy: bij dergelijk plasgedrag altijd laten onderzoeken bij de dierenarts of er geen medische oorzaak is!
motorbloempjewoensdag 30 augustus 2017 @ 09:20
quote:
7s.gif Op dinsdag 29 augustus 2017 23:20 schreef bedachtzaam het volgende:

[..]

Of het is wat vertekend of het is een behoorlijke dame, ze ligt er lekker bij zo.
Ze heeft het getroffen met je.
Valt heeeeeeel erg mee, ze heeft vooral heel veel floof (en een klein hoofd) ;) Ze is geloof ik iets van 3kg.
motorbloempjewoensdag 30 augustus 2017 @ 11:52
O+

Zo ligt ze nu _O-

https://streamable.com/kbh2f

https://streamable.com/qli5a
remlofwoensdag 30 augustus 2017 @ 12:02
quote:
Aaaaawww.
sylvesterrrwoensdag 30 augustus 2017 @ 13:47
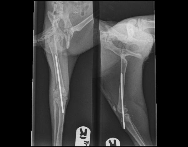
Ok, Sevgi is thuis. Ondanks het kalmeringsmiddel blijft ze niet rustig in de bench (ze klimt). Ik ga de bench maar eens in hoogte beperken met stevig karton denk ik.

SPOILER: x-ray
j3fiv
motorbloempjewoensdag 30 augustus 2017 @ 13:47
quote:
0s.gif Op woensdag 30 augustus 2017 13:47 schreef sylvesterrr het volgende:
Ok, Sevgi is thuis. Ondanks het kalmeringsmiddel blijft ze niet rustig in de bench (ze klimt). Ik ga de bench maar eens in hoogte beperken met stevig karton denk ik.

SPOILER: x-ray
Ocherm, sterkte! :*
sylvesterrrwoensdag 30 augustus 2017 @ 13:54
quote:
0s.gif Op woensdag 30 augustus 2017 13:47 schreef motorbloempje het volgende:

[..]

Ocherm, sterkte! :*
Dank je. Ze ligt nu heel rustig in d'r reismand. Ik denk dat ik nu pas het effect van het kalmeringsmiddel merk. Ik had het nog maar net tien minuutjes geleden ofzo gegeven. :P

Wat is ze een lelijkerd geworden met d'r geschoren achterpoot.. :') :P
https://s.skewl.net/j3fiw
vroniewoensdag 30 augustus 2017 @ 14:56
Wat zielig ;(

ik hoop dat ze geen pijn heeft.
motorbloempjewoensdag 30 augustus 2017 @ 14:57
quote:
17s.gif Op woensdag 30 augustus 2017 12:02 schreef remlof het volgende:

[..]

Aaaaawww.
Aandachtshoer++
valentijn101woensdag 30 augustus 2017 @ 16:11
quote:
0s.gif Op woensdag 30 augustus 2017 13:54 schreef sylvesterrr het volgende:

[..]

Dank je. Ze ligt nu heel rustig in d'r reismand. Ik denk dat ik nu pas het effect van het kalmeringsmiddel merk. Ik had het nog maar net tien minuutjes geleden ofzo gegeven. :P

Wat is ze een lelijkerd geworden met d'r geschoren achterpoot.. :') :P
https://s.skewl.net/j3fiw
Haha, net een drumstick _O-
sylvesterrrwoensdag 30 augustus 2017 @ 18:18
Nou, tot zover het beperken van de hoogte... Er was een miniscule opening in de hoek, dus ze wist op de 'bovenverdieping' te komen. Tjonge... Ik heb het karton maar weer weggehaald, want voor je het weet blijftt d'r poot ergens hangen en zijn we nog verder van huis.

Ze lijkt rustiger te zijn wanneer Muezza en ik niet in de buurt zijn. Heb haar dus op een aparte kamer gezet. Dat gaan 2-3 lange weken worden...
Cat-astrophewoensdag 30 augustus 2017 @ 18:28
Achhos, arm poezzie ;(
Kon je ze het maar uitleggen.
summer2birdwoensdag 30 augustus 2017 @ 18:31
Sterkte ermee Sylversterr.
summer2birdwoensdag 30 augustus 2017 @ 18:34
Ik heb trouwens ook een vraag, morgen gaat Ollie naar het poezenpension.
Volgend jaar doen we gewoon kattenoppas, maar dit was al helemaal geregeld en betaald voordat ik er achter kwam dat dat ook een optie was :')

Ik heb de reismand al de hele week in de kamer staan, ingesprayed met feliway, en hij slaapt er nu ook zo nu en dan in.
Zijn er nog andere tips voor de eerste keer poezenpension?

Ik heb trouwens voor de midweek over een paar maanden wanneer ik weg ben wel een poezenoppas geregeld :)

[ Bericht 10% gewijzigd door summer2bird op 30-08-2017 18:51:02 ]
summer2birddonderdag 31 augustus 2017 @ 10:37
Nou, poes is weg.

Ging veel beter dan verwacht!
Hij ging er gewoon in slapen toen we op de snelweg waren en het pension zag er ook mooi uit.
Ze hebben ook een buitenverblijf voor katten die de tuin af en toe in willen 😄
Ik zie hem over 10 dagen weer :)
Lienekiendonderdag 31 augustus 2017 @ 12:05
quote:
0s.gif Op donderdag 31 augustus 2017 10:37 schreef summer2bird het volgende:
Nou, poes is weg.

Ging veel beter dan verwacht!
Hij ging er gewoon in slapen toen we op de snelweg waren en het pension zag er ook mooi uit.
Ze hebben ook een buitenverblijf voor katten die de tuin af en toe in willen 😄
Ik zie hem over 10 dagen weer :)
Ik zag je vraag wel, maar ik had geen tips. Zo te lezen had je het al prima voorbereid met dat mandje op tijd in de kamer zetten.

Fijn dat het zo goed is gegaan! En nu met een gerust hart op vakantie? Veel plezier! *O*
summer2birddonderdag 31 augustus 2017 @ 12:09
quote:
14s.gif Op donderdag 31 augustus 2017 12:05 schreef Lienekien het volgende:

[..]

Ik zag je vraag wel, maar ik had geen tips. Zo te lezen had je het al prima voorbereid met dat mandje op tijd in de kamer zetten.

Fijn dat het zo goed is gegaan! En nu met een gerust hart op vakantie? Veel plezier! *O*
Ik heb er een gerust hart nu in ja. Het zag er allemaal heel verzorgd uit, de katten hadden 2 grote ruimtes met omheinde tuin waar ze in kunnen maar mocht hij niet in de groep kunnen heeft hij zijn eigen verblijf wat ook best groot is.
Zijn reismandje mocht blijven, zodat hij toch nog wat van thuis heeft en de mensen waren erg aardig daar :)
Ik denk dat ik zenuwachtiger was dan de kat :D

Zaterdag ga ik op vakantie, kan ik mooi nog even een grote schoonmaak houden voor ik ga :)

Ik ga ook eind september nog een midweek op bewonersvakantie van het beschermd wonen hier en dan past mijn zusje op. Die gaat dan dagelijks ff langs Ollie.

*O*
sylvesterrrdonderdag 31 augustus 2017 @ 19:32
quote:
0s.gif Op woensdag 30 augustus 2017 18:18 schreef sylvesterrr het volgende:
Nou, tot zover het beperken van de hoogte... Er was een miniscule opening in de hoek, dus ze wist op de 'bovenverdieping' te komen. Tjonge... Ik heb het karton maar weer weggehaald, want voor je het weet blijftt d'r poot ergens hangen en zijn we nog verder van huis.

Ze lijkt rustiger te zijn wanneer Muezza en ik niet in de buurt zijn. Heb haar dus op een aparte kamer gezet. Dat gaan 2-3 lange weken worden...
Zolang ze Muezza en mij niet ziet/hoort is ze rustig. Pas zodra ik de kamer binnenloop verandert ze in een monster. :D :') Ik hoef me geen zorgen te maken dat de buren klagen over geluidsoverlast 's nachts. ;)

En ze is ook heel rustig als ik haar vastpak. Ze lag net gewoon een minuut of twintig zonder problemen op m'n schoot.
Outpost76vrijdag 1 september 2017 @ 23:42
quote:
Wat een gave kat heb jij! *;
Sorellazaterdag 2 september 2017 @ 09:47
Dus jij en Muezza wonen op je slaapkamer als je thuis komt :)

Deed het zeer die tanden en nagels in je arm :)
Sorellazondag 3 september 2017 @ 09:12
Ik heb gisteren een schapenvacht gekocht voor de katten (en ook een beetje voor mij) maar Diallo en Banjer moeten er niets van hebben. Ik had hem aan de lijn gehangen ze durfde niet eens de tuin in, toen over een stoel gegooid, nou ze hebben zeker een uur op de vensterbank gezeten dus de vacht toen maar in de schuur gelegd.
Tot nog toe is Diallo de woonkamer nog niet in geweest dus die is niet verder gekomen als de keuken en de ren, Banjer lag wel op de bank maar zover mogelijk bij de stoel vandaan.
Zou het de lucht kunnen zijn van de vacht, dat ze ruiken dat het een dood dier is ??

Hoe laat ik ze beide wennen aan de vacht of is dit een maandag morgen monster en kan ik het beter wegdoen ?
HaverMoutKoekjezondag 3 september 2017 @ 09:15
quote:
0s.gif Op zondag 3 september 2017 09:12 schreef Sorella het volgende:
Ik heb gisteren een schapenvacht gekocht voor de katten (en ook een beetje voor mij) maar Diallo en Banjer moeten er niets van hebben. Ik had hem aan de lijn gehangen ze durfde niet eens de tuin in, toen over een stoel gegooid, nou ze hebben zeker een uur op de vensterbank gezeten dus de vacht toen maar in de schuur gelegd.
Tot nog toe is Diallo de woonkamer nog niet in geweest dus die is niet verder gekomen als de keuken en de ren, Banjer lag wel op de bank maar zover mogelijk bij de stoel vandaan.
Zou het de lucht kunnen zijn van de vacht, dat ze ruiken dat het een dood dier is ??

Hoe laat ik ze beide wennen aan de vacht of is dit een maandag morgen monster en kan ik het beter wegdoen ?
ik kan me niet voorstellen dat een roofdier moeite heeft met geur van een dood dier.
Misschien zit er juist chemisch luchtje aan. misschien zelf op liggen zodat het jouw geur overneemt?
valentijn101zondag 3 september 2017 @ 10:03
Ze zijn gewoon voorzichtig met dat vreemd ruikende, harige ding. Leg m op je bank/stoel. Ga er zelf op zitten dan ben je binnen no time je plek kwijt _O-
SQzondag 3 september 2017 @ 10:47
Ik zit een beetje met een ethisch vraagstuk en ben benieuwd hoe anderen hier over denken.

Ik heb een poes van 14 jaar. Een britse korthaar. Ze heeft een vergroeiing (verharding) aan de ruggengraat waardoor ze eigenlijk niet meer zoveel kan. Ze kan zich nog aan de stoffen bank omhoog klauwen maar ze zakt ook continu door haar achterpoten. Ze kan zich niet meer goed ontlasten waardoor haar hele achterkant chronisch onder de poep zit. Ook smeert ze daardoor haar poep het halve huis door. Zelf schoonmaken kan ze niet meer. Ze ligt voornamelijk op de bank te slapen.
Wel is ze nog lief en aanhankelijk. Maar ik worstel erg met de vraag: wanneer is genoeg ook genoeg?
Er is geen behandeling voor de aandoening. Alleen pijnbestrijding en ontstekingsremming dmv prednison. Hierdoor kun je het dus rekken, maar niet genezen. De dierenarts oppert nog acupunctuur en fysiotherapie, maar ik sta daar wat sceptisch in.

Wat zouden jullie doen?
8777zondag 3 september 2017 @ 10:50
quote:
1s.gif Op zondag 3 september 2017 10:47 schreef Stormqueen het volgende:
Ik zit een beetje met een ethisch vraagstuk en ben benieuwd hoe anderen hier over denken.

Ik heb een poes van 14 jaar. Een britse korthaar. Ze heeft een vergroeiing (verharding) aan de ruggengraat waardoor ze eigenlijk niet meer zoveel kan. Ze kan zich nog aan de stoffen bank omhoog klauwen maar ze zakt ook continu door haar achterpoten. Ze kan zich niet meer goed ontlasten waardoor haar hele achterkant chronisch onder de poep zit. Ook smeert ze daardoor haar poep het halve huis door. Zelf schoonmaken kan ze niet meer. Ze ligt voornamelijk op de bank te slapen.
Wel is ze nog lief en aanhankelijk. Maar ik worstel erg met de vraag: wanneer is genoeg ook genoeg?
Er is geen behandeling voor de aandoening. Alleen pijnbestrijding en ontstekingsremming dmv prednison. Hierdoor kun je het dus rekken, maar niet genezen. De dierenarts oppert nog acupunctuur en fysiotherapie, maar ik sta daar wat sceptisch in.

Wat zouden jullie doen?
Ik zou ze in laten slapen.
Wij hadden ook een Brit.
Zo-is-datzondag 3 september 2017 @ 11:01
quote:
1s.gif Op zondag 3 september 2017 10:47 schreef Stormqueen het volgende:
Ik zit een beetje met een ethisch vraagstuk en ben benieuwd hoe anderen hier over denken.

Ik heb een poes van 14 jaar. Een britse korthaar. Ze heeft een vergroeiing (verharding) aan de ruggengraat waardoor ze eigenlijk niet meer zoveel kan. Ze kan zich nog aan de stoffen bank omhoog klauwen maar ze zakt ook continu door haar achterpoten. Ze kan zich niet meer goed ontlasten waardoor haar hele achterkant chronisch onder de poep zit. Ook smeert ze daardoor haar poep het halve huis door. Zelf schoonmaken kan ze niet meer. Ze ligt voornamelijk op de bank te slapen.
Wel is ze nog lief en aanhankelijk. Maar ik worstel erg met de vraag: wanneer is genoeg ook genoeg?
Er is geen behandeling voor de aandoening. Alleen pijnbestrijding en ontstekingsremming dmv prednison. Hierdoor kun je het dus rekken, maar niet genezen. De dierenarts oppert nog acupunctuur en fysiotherapie, maar ik sta daar wat sceptisch in.

Wat zouden jullie doen?
Alleen jij kan die beslissing maken, de dierenarts heeft hier vaak een boekje over beschikbaar. Ik zie hem hier online: http://www.dierenkliniekdehaardstede.nl/euthanasie/ het heet "ben ik niet te vroeg"

De kunst is het leven bekijken vanuit de kat zijn perspectief, jezelf schoon kunnen houden weegt dan bijvoorbeeld behoorlijk zwaar in welzijn, ook zijn katten een meester in pijn verbergen en ervaren ze dus vaak veel meer pijn dan wij waarnemen aan hun gedrag.

Heel veel sterkte met de beslissing nemen in ieder geval ;(
Vivzondag 3 september 2017 @ 11:35
quote:
1s.gif Op zondag 3 september 2017 11:01 schreef Zo-is-dat het volgende:
Alleen jij kan die beslissing maken, de dierenarts heeft hier vaak een boekje over beschikbaar. Ik zie hem hier online: http://www.dierenkliniekdehaardstede.nl/euthanasie/ het heet "ben ik niet te vroeg"
Wat een goede tekst om je gedachten op een rijtje te kunnen zetten!

SQ heel veel sterkte :*
Kaatje1zondag 3 september 2017 @ 15:53
quote:
1s.gif Op zondag 3 september 2017 10:47 schreef Stormqueen het volgende:
Ik zit een beetje met een ethisch vraagstuk en ben benieuwd hoe anderen hier over denken.

Ik heb een poes van 14 jaar. Een britse korthaar. Ze heeft een vergroeiing (verharding) aan de ruggengraat waardoor ze eigenlijk niet meer zoveel kan. Ze kan zich nog aan de stoffen bank omhoog klauwen maar ze zakt ook continu door haar achterpoten. Ze kan zich niet meer goed ontlasten waardoor haar hele achterkant chronisch onder de poep zit. Ook smeert ze daardoor haar poep het halve huis door. Zelf schoonmaken kan ze niet meer. Ze ligt voornamelijk op de bank te slapen.
Wel is ze nog lief en aanhankelijk. Maar ik worstel erg met de vraag: wanneer is genoeg ook genoeg?
Er is geen behandeling voor de aandoening. Alleen pijnbestrijding en ontstekingsremming dmv prednison. Hierdoor kun je het dus rekken, maar niet genezen. De dierenarts oppert nog acupunctuur en fysiotherapie, maar ik sta daar wat sceptisch in.

Wat zouden jullie doen?
Moeilijk hoor. Maar mijn eerste kat heb ik eigenlijk net iets te laat laten inslapen. Ze was op, sliep of miauwde hard (was enorm dement, kende de weg in huis niet meer). Maar het idee een kerstvakantie met al dat verdriet om haar kon ik ook niet aan.Later daar zo enorm veel spijt van gehad. Andere kat, inslapen was gepland. Misschien iets te vroeg maar zeker niet te laat. Dat was het plan. Maar een maand voor die dag kwam zag ik opeens dat de kattebak (en haar kont bleek) onder het bloed zat. Toen ook niet meer laten dokteren maar in laten slapen.

Een van mijn huidige katten (BLH) eet regelmatig erg slecht. Daar veel onderzoeken en via een bekende fokker kwam ik erachter dat haar kittens waren overleden aan FIP. Dat ook onderzocht (voorzover dat kan) en ze bleek geen antistoffen te hebben. Had ze die wel gehad zou ik haar meteen hebben laten gaan, ook al zou ze het nog niet hebben.
Ben na de eerste ervaring er wel voor mezelf uit, ik mag lijden, de katten niet.
SQzondag 3 september 2017 @ 16:01
bedankt voor de reacties. Ik denk dat ik inderdaad genadig moet zijn en haar moet laten gaan.
Maar ja. Je voelt je tóch ergens een moordenaar he.
Cause_Mayhemzondag 3 september 2017 @ 16:02
quote:
1s.gif Op zondag 3 september 2017 10:47 schreef Stormqueen het volgende:
Ik zit een beetje met een ethisch vraagstuk en ben benieuwd hoe anderen hier over denken.

Ik heb een poes van 14 jaar. Een britse korthaar. Ze heeft een vergroeiing (verharding) aan de ruggengraat waardoor ze eigenlijk niet meer zoveel kan. Ze kan zich nog aan de stoffen bank omhoog klauwen maar ze zakt ook continu door haar achterpoten. Ze kan zich niet meer goed ontlasten waardoor haar hele achterkant chronisch onder de poep zit. Ook smeert ze daardoor haar poep het halve huis door. Zelf schoonmaken kan ze niet meer. Ze ligt voornamelijk op de bank te slapen.
Wel is ze nog lief en aanhankelijk. Maar ik worstel erg met de vraag: wanneer is genoeg ook genoeg?
Er is geen behandeling voor de aandoening. Alleen pijnbestrijding en ontstekingsremming dmv prednison. Hierdoor kun je het dus rekken, maar niet genezen. De dierenarts oppert nog acupunctuur en fysiotherapie, maar ik sta daar wat sceptisch in.

Wat zouden jullie doen?
Overleg met je dierenarts.
Die kan je vertellen of het dier pijn heeft (en in hoeverre dat weggenomen kan worden) of dat het 'gewoon' over omgaan met een beperking is.

Verder gaat het om een hoe ver wil jij gaan, hoeveel zorg en beperking kan jij nog mee leven?
Er is geen goed en slecht in deze. Inslapen zal het dier niets van merken, dat gaat zacht en vriendelijk.
Wat ben je bereid om te doen en welke prijs (voor het dier) ben je bereid om te betalen?
Je bent geen slechte eigenaar als je het stopt, wel ben je naar mijn mening een slechte eigenaar als je het dier perse bij je wil houden ondanks uitzichtloos lijden van dat dier.

Geen simpel antwoord dus, maar een afweging die je zelf moet maken. Zonder lijden (met evt medicatie) is het jouw keuze, zonder dat daarin een goed of slecht is, enkel een wat kan jij aan, wanneer vindt jij het genoeg? Gaat het wel om lijden zonder kans op genezing dan vind ik het persoonlijk egoïstisch om het dier in leven te houden. Ben ik blij dat men een stuk minder moeilijk doet over euthanasie bij dieren dan bij mensen.
Zo-is-datzondag 3 september 2017 @ 16:14
quote:
1s.gif Op zondag 3 september 2017 16:01 schreef Stormqueen het volgende:
bedankt voor de reacties. Ik denk dat ik inderdaad genadig moet zijn en haar moet laten gaan.
Maar ja. Je voelt je tóch ergens een moordenaar he.
Geen moordenaar, écht niet. Het is als dierenarts niet het fijnste werk om te doen maar wel een van de belangrijkste taken, het is heel goed dat euthanasie kan. Een vredige dood die niet te laat komt is een van de mooiste dingen die je voor je dier kan doen. Hoe krom dat mogelijk ook klinkt.

Veel sterkte!
Cat-astrophezondag 3 september 2017 @ 16:19
quote:
1s.gif Op zondag 3 september 2017 16:01 schreef Stormqueen het volgende:
bedankt voor de reacties. Ik denk dat ik inderdaad genadig moet zijn en haar moet laten gaan.
Maar ja. Je voelt je tóch ergens een moordenaar he.
Mijn gedachten hierover: Ik heb inmiddels 3 katten/kittens in laten slapen en heb het nooit als moord gezien, maar juist als een einde maken aan hun lijden (en wellicht de start van een vrolijker leven achter de regenboogbrug of zoiets).
Twee van mijn katten waren ziek en zijn spontaan overleden en daar heb ik me achteraf schuldiger over gevoeld. De laatste vond ik op de dag af 1 jaar geleden ;(
Er was en is mij niks te verwijten want er was bij beide katten nog geen reden tot euthanasie, maar beiden zijn ze zonder mij erbij gestorven, wellicht met veel pijn. Als het had gekund had ik hen dat willen besparen.

Zoals ik het mijn 13 jarige poes met nierfalen wel kon besparen. Op het moment dat ze suf werd, op vreemde plekken ging liggen en niks meer at, was het na anderhalf jaar dokteren klaar. Ik kon rustig afscheid nemen en haar kroelen terwijl ze twee dagen daarna insliep. Nog steeds een heel verdrietige beslissing, maar zoveel dierwaardiger.

Maar dat is mijn mening, bij zoiets moet je doen wat goed voelt en waar jij mee verder kunt.

Het stuk wat een paar posts terug gelinkt werd vond ik een prima hulpmiddel om je gedachten te bepalen.

Heel veel sterkte met de beslissing.
Cause_Mayhemzondag 3 september 2017 @ 17:56
quote:
1s.gif Op zondag 3 september 2017 16:19 schreef Cat-astrophe het volgende:

[..]

Mijn gedachten hierover: Ik heb inmiddels 3 katten/kittens in laten slapen en heb het nooit als moord gezien, maar juist als een einde maken aan hun lijden (en wellicht de start van een vrolijker leven achter de regenboogbrug of zoiets).
Twee van mijn katten waren ziek en zijn spontaan overleden en daar heb ik me achteraf schuldiger over gevoeld. De laatste vond ik op de dag af 1 jaar geleden ;(
Er was en is mij niks te verwijten want er was bij beide katten nog geen reden tot euthanasie, maar beiden zijn ze zonder mij erbij gestorven, wellicht met veel pijn. Als het had gekund had ik hen dat willen besparen.

Zoals ik het mijn 13 jarige poes met nierfalen wel kon besparen. Op het moment dat ze suf werd, op vreemde plekken ging liggen en niks meer at, was het na anderhalf jaar dokteren klaar. Ik kon rustig afscheid nemen en haar kroelen terwijl ze twee dagen daarna insliep. Nog steeds een heel verdrietige beslissing, maar zoveel dierwaardiger.

Maar dat is mijn mening, bij zoiets moet je doen wat goed voelt en waar jij mee verder kunt.

Het stuk wat een paar posts terug gelinkt werd vond ik een prima hulpmiddel om je gedachten te bepalen.

Heel veel sterkte met de beslissing.
Er is voor mij 1 dier waarmee ik nogsteeds moeite heb. Een kat die gebitsproblemen had die ik in heb moeten laten slapen omdat ze een hartprobleem bleek te hebben waardoor de operatie door haar gebitsproblemen niet kon.
Het blijft zuur dat een gebitsprobleem haar het leven heeft gekost. Aan de andere kant wist niemand van haar hartprobleem tot op dat moment. En maakte die dat elke operatie niet mogelijk was.

Al met al, luister naar je dierenarts. Die kan aangeven welke kans je dier maakt, in hoeverre een leven zonder onredelijk lijden mogelijk is. Het voelt misschien niet altijd eerlijk, maar wat ze zeggen is de werkelijkheid.
Als zij zeggen dat inslapen redelijk is is dat ook zo.

Luister naar wat ze zeggen, naar de kosten, naar de verwachte levenskwaliteit. Maak je beslissing aan de hand van die info. Emotie is hierin een slechte raadgever, die zegt namelijk dat het nooit genoeg is, je eeuwig samen moet kunnen zijn.
Erosjuhhhzondag 3 september 2017 @ 19:08
Dus,

2 gecastreerde broertjes van 1.5 jaar oud hier.. Er is niet echt een de baas, elke dag een ander en veel stoeien..het is nooit vechten..het begint met elkaar likken, vervolgens wordt het ruiger en een uur later liggen ze weer lekker tegen elkaar aan.

ik doe ze elke avond naar hun eigen kamer waar ze een eettafel hebben vol mandjes en kusjes waar ze al van jongs af aan op slapen..

2 maanden geleden ben ik een week naar texel geweest en bij terugkomst hebben ze 2 relax stoelen waar ze hun nagels in mochten zetten helemaal onder gepist. Weggegooid dus.

Alles goed schoon gemaakt en daarna niks..

Tot 2 weken geleden is een mandje op de tafel helemaal onder gepist. Deze gewassen en vervolgens is een ander mandje onder gepist..ook gewassen en vanmorgen hebben ze weer een kussen onder gepist..niet een beetje maar echt liters. Het droop van de tafel af :')

Uiteraard weer goed schoon gemaakt maar het is wachten op het volgende moment natuurlijk.

Ze hebben 1 kattenbak samen met silicagel korrels.
Elke week gaan er nieuwe korrels in..nu weet ik dat als de bak heel erg vies is ze nog wel eens voor de bak willen pissen in plaats van erin..maar de bak is 3 dagen geleden helemaal schoongemaakt.

Er is niet echt iets veranderd in huis wat voor andere situatie zou kunnen leiden.

Wat is het slimste om te doen?
- extra kattenbak?
- Feliway proberen?
- beiden katten met de kop in hun pis drukke
- andere tips?
Cause_Mayhemzondag 3 september 2017 @ 19:10
Bij elkaar laten slapen en elke dag de kattenbak verschonen is een goed begin. Beide heren castreren zou ook een goed idee zijn.
Cat-astrophezondag 3 september 2017 @ 19:18
Gecastreerd zijn ze al ;)

Weet je zeker dat ze het allebei doen? Plasjes opvangen en naar de DA brengen is vaak een goed begin.

Mogelijk is er niks lichamelijks aan de hand en is er stress. Ik vind Feliway dan altijd een goed middel om de scherpe kantjes eraf te halen.

O, en geef ze minimaal 1 extra kattenbak. 2 is nog beter (katten+1 = aantal kattenbakken).
Kijk ook naar het formaat. Vaak kopen mensen te kleine bakken waardoor de kat hem gaat mijden.
Cue_zondag 3 september 2017 @ 19:30
Meestal 2 katten is 3 kattenbakken begreep ik altijd als regel.

Zou daar eerst maar eens mee beginnen.
Erosjuhhhzondag 3 september 2017 @ 19:45
quote:
0s.gif Op zondag 3 september 2017 19:10 schreef Cause_Mayhem het volgende:
Bij elkaar laten slapen en elke dag de kattenbak verschonen is een goed begin. Beide heren castreren zou ook een goed idee zijn.
Ze zijn goede vriendjes van elkaar doen alles samen. Ook gecastreerd al.

Extra kattenbak komt eraan..in dezelfde kamer? Of is verschillende kamers zetten?
Cat-astrophezondag 3 september 2017 @ 19:57
quote:
1s.gif Op zondag 3 september 2017 19:45 schreef Erosjuhhh het volgende:

[..]

Ze zijn goede vriendjes van elkaar doen alles samen. Ook gecastreerd al.

Extra kattenbak komt eraan..in dezelfde kamer? Of is verschillende kamers zetten?
Als ze 's nachts opgesloten zitten zou ik ze in die kamer zetten. Het gaat er vooral om dat de een de ander niet kan terroriseren (als dat speelt) en ze altijd vrije toegang tot de bakken hebben of dat ze evt een plas- en een poepbak kunnen maken. Laat er wel zoveel mogelijk ruimte tussen.

Ik heb twee katten en drie bakken. Ze kunnen ook in de tuin.

Twee bakken in de bijkeuken zijn in gebruik (eentje plas en eentje poep). De bak die in de woonkamer staat is een leuk sier ornament. :') Maar ze hebben in ieder geval de optie.
Erosjuhhhzondag 3 september 2017 @ 21:08
quote:
1s.gif Op zondag 3 september 2017 19:57 schreef Cat-astrophe het volgende:

[..]

Als ze 's nachts opgesloten zitten zou ik ze in die kamer zetten. Het gaat er vooral om dat de een de ander niet kan terroriseren (als dat speelt) en ze altijd vrije toegang tot de bakken hebben of dat ze evt een plas- en een poepbak kunnen maken. Laat er wel zoveel mogelijk ruimte tussen.

Ik heb twee katten en drie bakken. Ze kunnen ook in de tuin.

Twee bakken in de bijkeuken zijn in gebruik (eentje plas en eentje poep). De bak die in de woonkamer staat is een leuk sier ornament. :') Maar ze hebben in ieder geval de optie.
Diegene van wie ik verdenk te pissen is meestal de baas (mingming =filipijns voor poespoes) omdat die ander(poespoes) gewoon te lief is.
Ze zitten samen snachts in een grote kamer en in die kamer staat ook de eettafel waar ze op pissen ('t is eigenlijk de eetkamer, waar we nog nooit gegeten hebben :')) .

Diegene die ik verdenk gaat ook alleen kattenbak in als er geen klep op zit..dus op de volgende de klep maar laten zitten dat de lieve poes hem alleen kan gebuiken?
Cause_Mayhemzondag 3 september 2017 @ 21:11
quote:
1s.gif Op zondag 3 september 2017 19:45 schreef Erosjuhhh het volgende:

[..]

Ze zijn goede vriendjes van elkaar doen alles samen. Ook gecastreerd al.

Extra kattenbak komt eraan..in dezelfde kamer? Of is verschillende kamers zetten?
Heb niet zo goed gelezen.
Negeer alles behalve de kattenbak vaker verschonen/meer kattenbakken neerzetten.

De feliway tip die ook gegeven is kan nooit kwaad, maar wel helpen.
Cat-astrophezondag 3 september 2017 @ 21:14
quote:
1s.gif Op zondag 3 september 2017 21:08 schreef Erosjuhhh het volgende:

[..]

Diegene van wie ik verdenk te pissen is meestal de baas (mingming =filipijns voor poespoes) omdat die ander(poespoes) gewoon te lief is.
Ze zitten samen snachts in een grote kamer en in die kamer staat ook de eettafel waar ze op pissen ('t is eigenlijk de eetkamer, waar we nog nooit gegeten hebben :')) .

Diegene die ik verdenk gaat ook alleen kattenbak in als er geen klep op zit..dus op de volgende de klep maar laten zitten dat de lieve poes hem alleen kan gebuiken?
Ik zou juist de klep eraf laten. Geef hem de kans om te kiezen tussen bakken.
Erosjuhhhzondag 3 september 2017 @ 21:15
https://www.dropbox.com/s(...)7%2023%2054%2035.jpg

Foto van de duivel, links poes en rechts ming
Zo-is-datzondag 3 september 2017 @ 22:19
quote:
1s.gif Op zondag 3 september 2017 21:15 schreef Erosjuhhh het volgende:
https://www.dropbox.com/s(...)7%2023%2054%2035.jpg

Foto van de duivel, links poes en rechts ming
Ga zeker urine na laten kijken bij de dierenarts! Katten krijgen bijvoorbeeld vaak blaasontsteking van stress en gaan hiervan buiten de bak plassen en/of ze hebben blaasgruis. Zeker eerst een medische oorzaak uitsluiten voor je naar gedrag gaat kijken.
vroniemaandag 4 september 2017 @ 00:52
quote:
1s.gif Op zondag 3 september 2017 21:15 schreef Erosjuhhh het volgende:
https://www.dropbox.com/s(...)7%2023%2054%2035.jpg

Foto van de duivel, links poes en rechts ming
Wat een lieverds O+ voor jouw nu wat minder.
Als eerste zou ik de de geur van de urine goed aanpakken en misschien een ander ander soort kattengrit.
Ik heb voor mijn 2 katten een xl kattenbak boven staan die ik om de drie dagen verschoon , en een kattenbak beneden die ik om de dag verschoon met bleekwater.
Lienekienmaandag 4 september 2017 @ 06:38
quote:
1s.gif Op zondag 3 september 2017 16:01 schreef Stormqueen het volgende:
bedankt voor de reacties. Ik denk dat ik inderdaad genadig moet zijn en haar moet laten gaan.
Maar ja. Je voelt je tóch ergens een moordenaar he.
Moeilijk, hoor. Dit zijn aangrijpende periodes als je een kat hebt. Ik herken ook die angst voor zelfverwijt. Ben blij dat ik kon vertrouwen op de dierenarts in de twee gevallen dat ik zelf de knoop moest doorhakken, al was het hartverscheurend. De laatste keer was ook hartverscheurend, met toch twijfel achteraf of we niet eerder toch hadden moeten ingrijpen. De realisatie dat ze toch wel veel minder was in de laatste periode kwam pas ten volle toen er na haar overlijden een nieuwe, dartele jonge kat de trap op en af sprintte zoals we nog nooit gezien hadden.

Het hoort erbij dat we als huisdier'bezitter' (binnen grenzen weliswaar) moeten/mogen beslissen over leven en dood. Jouw post hierboven vat helemaal samen hoe ontzettend dubbel dat is. Veel sterkte gewenst. :*

[ Bericht 0% gewijzigd door Lienekien op 04-09-2017 08:35:43 ]
motorbloempjemaandag 4 september 2017 @ 08:33
;( sterkte :*
F_rmaandag 4 september 2017 @ 09:05
Sterkte sq moeilijke beslissing altijd.
Goddelijkermaandag 4 september 2017 @ 10:03
Sterkte!

Toevallig iemand in de omgeving Utrecht bekend met een kattentrimmer/-plukker? :+
Mishudinsdag 5 september 2017 @ 00:19
Weet iemand hoe het kan dat katten naar je luisteren als je ze roept?

Ik roep savonds mijn katten naar binnen en ze komen standaard hollend aanrennen. Ik heb dit nooit bewust aangeleerd.
vroniedinsdag 5 september 2017 @ 01:22
quote:
0s.gif Op dinsdag 5 september 2017 00:19 schreef Mishu het volgende:
Weet iemand hoe het kan dat katten naar je luisteren als je ze roept?

Ik roep savonds mijn katten naar binnen en ze komen standaard hollend aanrennen. Ik heb dit nooit bewust aangeleerd.
Ik moet erg lachen om je vraag :) ze reageren ten eerste op hun naam en jouw stem ;)
vroniedinsdag 5 september 2017 @ 02:26
quote:
0s.gif Op maandag 4 september 2017 10:03 schreef Goddelijker het volgende:
Sterkte!

Toevallig iemand in de omgeving Utrecht bekend met een kattentrimmer/-plukker? :+
Hier een link http://www.kattentrimsalon.nl/

[ Bericht 11% gewijzigd door vronie op 05-09-2017 10:59:57 ]
Lienekiendinsdag 5 september 2017 @ 06:10
quote:
0s.gif Op dinsdag 5 september 2017 00:19 schreef Mishu het volgende:
Weet iemand hoe het kan dat katten naar je luisteren als je ze roept?

Ik roep savonds mijn katten naar binnen en ze komen standaard hollend aanrennen. Ik heb dit nooit bewust aangeleerd.
Omdat ze geconditioneerd zijn.
Cue_dinsdag 5 september 2017 @ 07:35
quote:
0s.gif Op dinsdag 5 september 2017 00:19 schreef Mishu het volgende:
Weet iemand hoe het kan dat katten naar je luisteren als je ze roept?

Ik roep savonds mijn katten naar binnen en ze komen standaard hollend aanrennen. Ik heb dit nooit bewust aangeleerd.
quote:
0s.gif Op dinsdag 5 september 2017 00:19 schreef Mishu het volgende:
Weet iemand hoe het kan dat katten naar je luisteren als je ze roept?

Ik roep savonds mijn katten naar binnen en ze komen standaard hollend aanrennen. Ik heb dit nooit bewust aangeleerd.
Wss omdat ze dan eten krijgen ;)
En krijgen ze dat niet, dan gewoon om jou en wat Lienekien zegt.
valentijn101dinsdag 5 september 2017 @ 07:36
quote:
0s.gif Op dinsdag 5 september 2017 00:19 schreef Mishu het volgende:
Weet iemand hoe het kan dat katten naar je luisteren als je ze roept?

Ik roep savonds mijn katten naar binnen en ze komen standaard hollend aanrennen. Ik heb dit nooit bewust aangeleerd.
Ik vermoed dat je ze ook wat lekkers geeft/ gaf zodra ze binnen waren. Dus waarschijnlijk denkenze dat het hapjes tijd is als je roept. (Dat denken die van mij in iedergeval als ik op ze fluit maar dat heb ik ook bewust aangeleerd)
SiGNewoensdag 6 september 2017 @ 16:48
Kan een kat ook candida krijgen?
M'n kat likt z'n buik en bij de staart een beetje kaal.
Lienekienwoensdag 6 september 2017 @ 16:51
quote:
0s.gif Op woensdag 6 september 2017 16:48 schreef SiGNe het volgende:
Kan een kat ook candida krijgen?
M'n kat likt z'n buik en bij de staart een beetje kaal.
Waarom zou dat candida moeten zijn?

Vlooienallergie. Stress.
SiGNewoensdag 6 september 2017 @ 16:54
quote:
1s.gif Op woensdag 6 september 2017 16:51 schreef Lienekien het volgende:

[..]

Waarom zou dat candida moeten zijn?

Vlooienallergie. Stress.
Omdat ik er zelf ook last van heb.
Vlooien kan ik niet vinden (krijgt ie ook druppels voor) en hij komt ook niet gestressed over.
Lienekienwoensdag 6 september 2017 @ 17:45
quote:
0s.gif Op woensdag 6 september 2017 16:54 schreef SiGNe het volgende:

[..]

Omdat ik er zelf ook last van heb.
Vlooien kan ik niet vinden (krijgt ie ook druppels voor) en hij komt ook niet gestressed over.
Behalve dat op die plekken overmatig likken typisch stressgedrag is.

http://www.praktijkvoorkattengedrag.nl/mijn-kat-likt-zich-kaal/

Dierenarts, dus.
Cause_Mayhemwoensdag 6 september 2017 @ 17:49
quote:
0s.gif Op woensdag 6 september 2017 16:54 schreef SiGNe het volgende:

[..]

Omdat ik er zelf ook last van heb.
Vlooien kan ik niet vinden (krijgt ie ook druppels voor) en hij komt ook niet gestressed over.
Als hij vlooienallergie heeft is een beet van een vlo al voldoende. Afhankelijk van het middel gaan vlooien dood door of eerst te bijten of door al op het dier te zitten.
Het probleem met een vlooienallergie is dus dat je geen vlooienplaag nodig hebt, een enkele beet al een reactie oproept.
Vintywoensdag 6 september 2017 @ 17:53
Misschien weten jullie raad. Onze jonge kater gecastreerd.. nu bijna een jaar. Neemt dagelijks allerlei beesten mee naar binnen. Vogels muizen mollen dat soort spul. Om die dan op het gemak op te vreten en de resten voor ons te laten liggen.

Hij krijgt dagelijks 2x vers vlees en soms wat brokjes.
Een bandje met een belletje sloopt hij er binnen een kwartier vanaf.
En binnen houden is echt geen optie.

Iemand een idee hoe dit aan te pakken
Debsterrwoensdag 6 september 2017 @ 17:56
quote:
0s.gif Op woensdag 6 september 2017 17:53 schreef Vinty het volgende:
Misschien weten jullie raad. Onze jonge kater gecastreerd.. nu bijna een jaar. Neemt dagelijks allerlei beesten mee naar binnen. Vogels muizen mollen dat soort spul. Om die dan op het gemak op te vreten en de resten voor ons te laten liggen.

Hij krijgt dagelijks 2x vers vlees en soms wat brokjes.
Een bandje met een belletje sloopt hij er binnen een kwartier vanaf.
En binnen houden is echt geen optie.

Iemand een idee hoe dit aan te pakken
Accepteren dat je huisdier een roofdier is :D?
Amawoensdag 6 september 2017 @ 17:59
quote:
0s.gif Op woensdag 6 september 2017 17:53 schreef Vinty het volgende:
Misschien weten jullie raad. Onze jonge kater gecastreerd.. nu bijna een jaar. Neemt dagelijks allerlei beesten mee naar binnen. Vogels muizen mollen dat soort spul. Om die dan op het gemak op te vreten en de resten voor ons te laten liggen.

Hij krijgt dagelijks 2x vers vlees en soms wat brokjes.
Een bandje met een belletje sloopt hij er binnen een kwartier vanaf.
En binnen houden is echt geen optie.

Iemand een idee hoe dit aan te pakken
Doe je niks aan. Mijn kat heeft de laatste 2 maanden niks meer meegenomen maar hier vond je ook regelmatig halve muizen, uitgekotste muizen, organen etc. Kun je niks aan doen want dat hoort nou eenmaal bij een kat die goed kan jagen.

[ Bericht 0% gewijzigd door Ama op 06-09-2017 18:05:00 ]
Goddelijkerwoensdag 6 september 2017 @ 18:11
quote:
0s.gif Op woensdag 6 september 2017 17:53 schreef Vinty het volgende:
Misschien weten jullie raad. Onze jonge kater gecastreerd.. nu bijna een jaar. Neemt dagelijks allerlei beesten mee naar binnen. Vogels muizen mollen dat soort spul. Om die dan op het gemak op te vreten en de resten voor ons te laten liggen.

Hij krijgt dagelijks 2x vers vlees en soms wat brokjes.
Een bandje met een belletje sloopt hij er binnen een kwartier vanaf.
En binnen houden is echt geen optie.

Iemand een idee hoe dit aan te pakken
Ik heb vandaag ook al twee libelles gekregen _O-
DaMookwoensdag 6 september 2017 @ 20:01
quote:
1s.gif Op woensdag 6 september 2017 17:56 schreef Debsterr het volgende:

[..]

Accepteren dat je huisdier een roofdier is :D?
Dit :P .
motorbloempjewoensdag 6 september 2017 @ 22:14
Die van mij brengt dorre blaadjes binnen. :')
vroniedonderdag 7 september 2017 @ 00:10
quote:
14s.gif Op woensdag 6 september 2017 22:14 schreef motorbloempje het volgende:
Die van mij brengt dorre blaadjes binnen. :')
Wat schattig O+ beter dan een of ander diertje.
valentijn101donderdag 7 september 2017 @ 07:32
quote:
14s.gif Op woensdag 6 september 2017 22:14 schreef motorbloempje het volgende:
Die van mij brengt dorre blaadjes binnen. :')
Daar begonnen die van mij ook mee. Daarna werden het takjes met bladeren O+ En toen begon de slachting :'(
Vinniieevrijdag 8 september 2017 @ 10:15
Met poes naar de dierenarts geweest, want ze liep met haar kont naar beneden en mank aan een poot. Blijkt dat knieschijven los zitten en iets gebroken :'(
motorbloempjevrijdag 8 september 2017 @ 10:16
Ocherm -O-
summer2birdzaterdag 9 september 2017 @ 10:05
Ollie is weer terug! *O*

Ik kon nog een week uit het voer halen (Purina One) en die zakken zijn dan nu ook op.
Ik ga overstappen naar Applaws, omdat sinds hij van het pension komt waar ze Applaws gaven hij een super mooie vacht heeft. Hij is ook nog afgevallen volgens mij, ook al kreeg hij daar volle bak.

Ik ga eerst een klein zakje ervan kopen bij de dierensuper hier en dan kijken wat hij ervan vind. Maar ik ben wel enthousiast over hoe zacht hij nu is :D

Hij miste me trouwens volgens mij totaal niet in het pension. Toen ik hem op kwam halen lag hij prinsheerlijk in een mandje te slapen helemaal uitgespreid.

SPOILER: Vergelijking ingredienten applaws en purina one
Applaws:
Ingrediënten:
Gedroogde kip (50%), gedroogde zalm (13%), kip gehakt (13%), aardappelen, verse zalm (6%), bietenpulp, gist, zalmolie (1%), [omega-3] gebraden kippenjus/saus (1 %), visbestand (0,5%), vitaminen en mineralen, gedroogd ei, cellulose uit plantaardige vezels (0,03%), natriumchloride, calciumcarbonaat, zeewier / kelp, cranberry, DL-methionine, kaliumchloride, yucca extract, citrus extract, rozemarijnextract

Purina One:
Samenstelling:
rund (17%), tarwe (min. 14%), gedehydreerd gevogelteproteïne, maisglutenmeel, sojameel, dierlijk vet, mais, bietenpulp, witlofblokjes (min. 0,5%), cellulose, autolysaat, gist (min. 0,2%), calciumsulfaat, kaliumchloride, visolie, cholinchloride, mineraalstoffen, L-lysine, DL-methionine, natriumchloride.
Volgens mij is dit een goeie keuze :)
valentijn101zaterdag 9 september 2017 @ 10:08
quote:
99s.gif Op zaterdag 9 september 2017 10:05 schreef summer2bird het volgende:
Ollie is weer terug! *O*

Ik kon nog een week uit het voer halen (Purina One) en die zakken zijn dan nu ook op.
Ik ga overstappen naar Applaws, omdat sinds hij van het pension komt waar ze Applaws gaven hij een super mooie vacht heeft. Hij is ook nog afgevallen volgens mij, ook al kreeg hij daar volle bak.

Ik ga eerst een klein zakje ervan kopen bij de dierensuper hier en dan kijken wat hij ervan vind. Maar ik ben wel enthousiast over hoe zacht hij nu is :D

Hij miste me trouwens volgens mij totaal niet in het pension. Toen ik hem op kwam halen lag hij prinsheerlijk in een mandje te slapen helemaal uitgespreid.

SPOILER: Vergelijking ingredienten applaws en purina one
Applaws:
Ingrediënten:
Gedroogde kip (50%), gedroogde zalm (13%), kip gehakt (13%), aardappelen, verse zalm (6%), bietenpulp, gist, zalmolie (1%), [omega-3] gebraden kippenjus/saus (1 %), visbestand (0,5%), vitaminen en mineralen, gedroogd ei, cellulose uit plantaardige vezels (0,03%), natriumchloride, calciumcarbonaat, zeewier / kelp, cranberry, DL-methionine, kaliumchloride, yucca extract, citrus extract, rozemarijnextract

Purina One:
Samenstelling:
rund (17%), tarwe (min. 14%), gedehydreerd gevogelteproteïne, maisglutenmeel, sojameel, dierlijk vet, mais, bietenpulp, witlofblokjes (min. 0,5%), cellulose, autolysaat, gist (min. 0,2%), calciumsulfaat, kaliumchloride, visolie, cholinchloride, mineraalstoffen, L-lysine, DL-methionine, natriumchloride.
Volgens mij is dit een goeie keuze :)
Ruik eens aan ollie, misschien hebben ze hem gewassen.
summer2birdzaterdag 9 september 2017 @ 10:10
quote:
1s.gif Op zaterdag 9 september 2017 10:08 schreef valentijn101 het volgende:

[..]

Ruik eens aan ollie, misschien hebben ze hem gewassen.
Ik ruik geen gekke dingen, geen bijzonder luchtje.
Hij is niet oud of gebrekkig en wast zichzelf prima.
Zouden ze dat doen?
valentijn101zaterdag 9 september 2017 @ 10:18
quote:
99s.gif Op zaterdag 9 september 2017 10:10 schreef summer2bird het volgende:

[..]

Ik ruik geen gekke dingen, geen bijzonder luchtje.
Hij is niet oud of gebrekkig en wast zichzelf prima.
Zouden ze dat doen?
Normaal gesproken niet. Ik heb het ooit een keer gehoord toen een of ander horror pension gesloten werd waar de dieren in vervuilde verblijven in hun eigen ontlasting zaten. Daar werden ze vlug gewassen voor de baas ze kwam halen zodat de klanten niets door zouden hebben.
summer2birdzaterdag 9 september 2017 @ 10:27
quote:
1s.gif Op zaterdag 9 september 2017 10:18 schreef valentijn101 het volgende:

[..]

Normaal gesproken niet. Ik heb het ooit een keer gehoord toen een of ander horror pension gesloten werd waar de dieren in vervuilde verblijven in hun eigen ontlasting zaten. Daar werden ze vlug gewassen voor de baas ze kwam halen zodat de klanten niets door zouden hebben.
Ooh, das deze niet hoor!
Ik ben in de verblijven geweest bij brengen en ophalen, heel schoon, katten zagen er relaxed en happy uit en er waren een ton aan schone kattenbakken beschikbaar.
Ze hadden zelfs een eigen buitenverblijf, compleet omheind en er waren een ton aan meisjes aan het werk met de katten.
Voer en drinken stond volop aanwezig op meerdere plekken.

Ik moest zelfs een heel ding invullen met angsten en favoriete dingen van Ollie :D

Die dames daar waren ook superaardig en het stond ook goed aangeschreven op google maps :)
MrDarcyzaterdag 9 september 2017 @ 15:58
Mijn poes (4 jaar oud, nooit problemen) heeft sinds afgelopen week de neiging te bijten. Willekeurig bijvoorbeeld in mijn enkels of die van mijn huisgenoten waarna ze weg rent.

Er zijn geen gekke dingen gebeurd en het voedsel is hetzelfde als voorheen.

Any clues?
HaverMoutKoekjezaterdag 9 september 2017 @ 16:01
quote:
0s.gif Op zaterdag 9 september 2017 15:58 schreef MrDarcy het volgende:
Mijn poes (4 jaar oud, nooit problemen) heeft sinds afgelopen week de neiging te bijten. Willekeurig bijvoorbeeld in mijn enkels of die van mijn huisgenoten waarna ze weg rent.

Er zijn geen gekke dingen gebeurd en het voedsel is hetzelfde als voorheen.

Any clues?
doet die van mij ook wel eens als ze beledigd is omdat ik niet genoeg met haar speel, dan gaat ze klieren
MrDarcyzaterdag 9 september 2017 @ 16:03
quote:
1s.gif Op zaterdag 9 september 2017 16:01 schreef HaverMoutKoekje het volgende:

[..]

doet die van mij ook wel eens als ze beledigd is omdat ik niet genoeg met haar speel, dan gaat ze klieren
Zal er eens op letten. Het is best een slome poes. Dus echt spelen deed ze nooit echt.
valentijn101zaterdag 9 september 2017 @ 16:44
quote:
99s.gif Op zaterdag 9 september 2017 10:27 schreef summer2bird het volgende:

[..]

Ooh, das deze niet hoor!
Ik ben in de verblijven geweest bij brengen en ophalen, heel schoon, katten zagen er relaxed en happy uit en er waren een ton aan schone kattenbakken beschikbaar.
Ze hadden zelfs een eigen buitenverblijf, compleet omheind en er waren een ton aan meisjes aan het werk met de katten.
Voer en drinken stond volop aanwezig op meerdere plekken.

Ik moest zelfs een heel ding invullen met angsten en favoriete dingen van Ollie :D

Die dames daar waren ook superaardig en het stond ook goed aangeschreven op google maps :)
Daar ging ik ook van uit. Misschien hebben ze haar goed geborsteld? Die van mij worden ook heerlijk zacht als alle losse haren goed uit ze geborsteld zijn.
valentijn101zaterdag 9 september 2017 @ 16:46
quote:
0s.gif Op zaterdag 9 september 2017 15:58 schreef MrDarcy het volgende:
Mijn poes (4 jaar oud, nooit problemen) heeft sinds afgelopen week de neiging te bijten. Willekeurig bijvoorbeeld in mijn enkels of die van mijn huisgenoten waarna ze weg rent.

Er zijn geen gekke dingen gebeurd en het voedsel is hetzelfde als voorheen.

Any clues?
Te veel energie? Die van mij doen ook wel eens schijnaanvallen naar elkaar en naar mij als ze teveel energie hebben. Zoals nu bv. Het regent en 2 van de 3 blijven dan liever binnen.

Tom vindt het heerlijk om afgedroogd te worden dus die komt tig keer per dag met trotse blik zeiknat binnen. :')
summer2birdzondag 10 september 2017 @ 09:10
quote:
1s.gif Op zaterdag 9 september 2017 16:44 schreef valentijn101 het volgende:

[..]

Daar ging ik ook van uit. Misschien hebben ze haar goed geborsteld? Die van mij worden ook heerlijk zacht als alle losse haren goed uit ze geborsteld zijn.
Dat zou ook kunnen.
Ik borstel ook niet dagelijks, meer 2x per week :@
Miniemzondag 10 september 2017 @ 09:45
Wat voor kattenbak hebben jullie?
Had voor mijn eerste kat een basic bak gekocht van 15 euro oid. Hiervan is een clip afgebroken , nu kan ik de bak niet meer oppakken aan het handvat. Nu zoek ik een andere, maar misschien hebben jullie tips? Is zon Curver bak iets?
Lienekienzondag 10 september 2017 @ 09:49
Gimpet.

Is groot, heeft het voordeel dat wanneer de kat de kont omhoog steekt bij het plassen, de plas langs de zijwand in de bak loopt, omdat de rand ook aan de binnenkat over de bak heenvalt.

Dat gezegd hebbende, ik heb al jaren de kap er niet op. Niet alle katten vinden dat fijn. Het klepje heb ik al nooit gebruikt, dat was ook geen succes.


b40366c62e4ccf353fc3fa590aa27b270dc0af07.jpg
HaverMoutKoekjezondag 10 september 2017 @ 09:49
quote:
1s.gif Op zondag 10 september 2017 09:45 schreef Miniem het volgende:
Wat voor kattenbak hebben jullie?
Had voor mijn eerste kat een basic bak gekocht van 15 euro oid. Hiervan is een clip afgebroken , nu kan ik de bak niet meer oppakken aan het handvat. Nu zoek ik een andere, maar misschien hebben jullie tips? Is zon Curver bak iets?
bedoel je kattenbak, waar ze hun behoefte in doen? Want die hebben volgens mij geen handvat.
Of vervoersmand?
Lienekienzondag 10 september 2017 @ 09:51
Er zijn diverse modellen kattenbak met handvat.
Miniemzondag 10 september 2017 @ 09:56
quote:
1s.gif Op zondag 10 september 2017 09:49 schreef Lienekien het volgende:
Gimpet.

Is groot, heeft het voordeel dat wanneer de kat de kont omhoog steekt bij het plassen, de plas langs de zijwand in de bak loopt, omdat de rand ook aan de binnenkat over de bak heenvalt.

Dat gezegd hebbende, ik heb al jaren de kap er niet op. Niet alle katten vinden dat fijn. Het klepje heb ik al nooit gebruikt, dat was ook geen succes.


[ afbeelding ]
Bij zon grote bak gaat er dan toch superveel grit in? En voor 1 kat is dat te groot denk ik?

Hoef er niet perse 1 met handvat, maar is soms wel handig.
HaverMoutKoekjezondag 10 september 2017 @ 09:57
quote:
1s.gif Op zondag 10 september 2017 09:51 schreef Lienekien het volgende:
Er zijn diverse modellen kattenbak met handvat.
er zijn oneindig veel modellen zonder handvat. Ik heb er al jaren een en zou niet weten wat ik met handvat zou moeten
sylvesterrrzondag 10 september 2017 @ 10:10
quote:
1s.gif Op zondag 10 september 2017 09:56 schreef Miniem het volgende:

[..]

Bij zon grote bak gaat er dan toch superveel grit in? En voor 1 kat is dat te groot denk ik?

Hoef er niet perse 1 met handvat, maar is soms wel handig.
Als je kat(ten) een beetje vergevingsgezind zijn/is, dan kan je je bij een grote bak nog eens veroorloven om een dag vergeten de kattenbak uit te scheppen. Aangezien er altijd voldoende water en voer is kan ik op deze manier zonder zorgen een nachtje wegblijven. ;)
Candaasjezondag 10 september 2017 @ 12:10
quote:
99s.gif Op zondag 10 september 2017 09:10 schreef summer2bird het volgende:

[..]

Dat zou ook kunnen.
Ik borstel ook niet dagelijks, meer 2x per week :@
Geen :@ nodig hoor, dagelijks borstelen is in de meeste gevallen juist absoluut niet aan te raden voor het behoud van een mooie vacht :) .

En fijn dat Ollie het zo naar zijn zin heeft gehad in het pension!
Ander voer kan soms echt een enorm verschil maken qua lichamelijke gezondheid (en dus vachtstructuur), dus het zou fijn zijn als het nieuwe voer zo veel verschil maakt.
Sorellazondag 10 september 2017 @ 12:49
Ik heb een litter robot kattenbak en die bevalt prima, als die stuk is koop ik een nieuwe maar zijn erg duur.
Lienekienzondag 10 september 2017 @ 14:25
quote:
1s.gif Op zondag 10 september 2017 09:57 schreef HaverMoutKoekje het volgende:

[..]

er zijn oneindig veel modellen zonder handvat. Ik heb er al jaren een en zou niet weten wat ik met handvat zou moeten
Dat was het punt niet.
Lienekienzondag 10 september 2017 @ 14:27
quote:
1s.gif Op zondag 10 september 2017 09:56 schreef Miniem het volgende:

[..]

Bij zon grote bak gaat er dan toch superveel grit in? En voor 1 kat is dat te groot denk ik?

Hoef er niet perse 1 met handvat, maar is soms wel handig.
Te groot niet, hoor. En ik gebruik altijd klonterspul, dus in gebruik maakt dat niet zoveel uit. We hebben nu een kat, toen ik hem kocht, had ik er nog twee.
Meike26maandag 11 september 2017 @ 21:30
Vandaag had ik echt een slow start, nog geen werk te doen en dus beetje uitslapen enzo, ook wel eens lekker.
Poes komt op bed en begint opeens aan mijn vinger te likken, wat ze anders echt niet zo snel doet.. Maar wat is er dan opeens zo lekker aan mijn vinger :?

Even terug denken en ik heb eerder vanochtend, om een uur of 6 smorgens even met de vinger in het oor gezeten, het jeukte wat en dan ga... blablabla... Etc etc / onnodig ranzige details.

Dat was wel echt even een wtf momentje :D :')
Maar dat was nog niet alles. Bij toeval, ongeveer een uur later, zit ik beneden op de bank en loopt Poes over de rugleuning achter mij door, ruikt blijkbaar iets en likt opeens in mijn oor.. _O- Beestje is al ruim 8 jaar oud, maar dit heeft ze gelukkig nooit eerder gedaan.

Dan dus de vraag.. Kan dat beetje oorsmeer kwaad voor een kat ? :@

Nee, ik ga niet het dieet veranderen van Poes of onze rode kater, maar vond het zo bizar vanochtend :D
Cat-astrophemaandag 11 september 2017 @ 21:33
Nee, natuurlijk niet _O-
summer2birdmaandag 11 september 2017 @ 21:34
De kat bij mijn ouders vist gebruikte oorsmeer staafjes uit de prullenbak en speelt ermee als hij de kans krijgt, dus denk het niet :D
Amamaandag 11 september 2017 @ 21:36
quote:
1s.gif Op zondag 10 september 2017 09:45 schreef Miniem het volgende:
Wat voor kattenbak hebben jullie?
Een simpele basic ding maar ze gebruikt hem zelden. Ik hoef hem alleen met oud & nieuw te verschonen omdat ze dan de hele dag binnen zit. Verder doet ze alles in de bosjes hier. (En ja ik weet dat ze het niet in iemand zijn tuin doet want ze komt ons terrein niet eens af, durft ze niet want ze schrikt echt van ongeveer alles.)
Meike26maandag 11 september 2017 @ 21:49
quote:
0s.gif Op maandag 11 september 2017 21:34 schreef summer2bird het volgende:
De kat bij mijn ouders vist gebruikte oorsmeer staafjes uit de prullenbak en speelt ermee als hij de kans krijgt, dus denk het niet :D
_O-

Heeft dus misschien zelfde werking als catnip ? :D
Sorelladinsdag 12 september 2017 @ 08:39
Hier lebbert de ene kat het oor van de andere kat uit en daar zal ook wel oorsmeer inzitten :')
Vinniieedinsdag 12 september 2017 @ 12:57
Iemand een bench in de buurt van Arnhem te leen (of te koop)?
sylvesterrrdinsdag 12 september 2017 @ 13:55
quote:
1s.gif Op dinsdag 12 september 2017 12:57 schreef Vinniiee het volgende:
Iemand een bench in de buurt van Arnhem te leen (of te koop)?
Wanneer heb je het nodig? Met een beetje geluk hoeft Sevgi na morgen niet meer in de bench en ben ik dit weekend waarschijnlijk in Nijmegen... :s)
Vinniieedinsdag 12 september 2017 @ 14:13
quote:
0s.gif Op dinsdag 12 september 2017 13:55 schreef sylvesterrr het volgende:

[..]

Wanneer heb je het nodig? Met een beetje geluk hoeft Sevgi na morgen niet meer in de bench en ben ik dit weekend waarschijnlijk in Nijmegen... :s)
De operatie is vrijdag, dus ik denk vrijdag.

/edit: ik haal er vanavond een op van Marktplaats. Toch bedankt!

[ Bericht 5% gewijzigd door Vinniiee op 12-09-2017 17:54:57 ]
#ANONIEMvrijdag 15 september 2017 @ 03:03
Hi,

Ik heb zelf twee geholpen broeder en zuster, en de moederpoes was van mijn zus, maar woont sinds twee maanden bij ons. Zus heeft sinds kort een flatwoning verderop (zij woonde eerste schuin tegenover ons) en dat ging niet met de poes (te klein, plus ze is onze omgeving gewend al kwam ze in een vrij gesloten ombouwing terecht). Het plan was om moederpoes na de vakantie (vlak na het besluit om haar bij ons te laten wonen gingen wij weg op een al halfjaar terug geboekte vakantie van 2500 euro aan tickets. Zus heeft die periode opgepast ) te laten castreren, dit was nog niet gebeurd namelijk. Toen wij weg gingen was zij krols dus hebben we in overleg besloten het na de vakantie te doen, in de wetenschap dat ze hier moeilijk de straat op kon komen (we hebben overal gaas voor hangen en onze eigen katten blijven daar binnen, alleen op het terras van de buren met twee poezen en een hond) en hier in de directe omgeving geen vruchtbare katers wonen. Ze is dus flink buiten geweest toen wij weg waren (er werd voor de katten gezorgd en ze is toen eind vakantie twee dagen niet aanwezig geweest op voedermomenten. Hiervan zijn wij op de hoogte gesteld). Heb afgelopen week een stuk verderop een voor mij onbekende rode kater zien sproeien en die verdenk ik dus van als babydaddy. Ben redelijk op de hoogte van wat hier rondloopt, maar in een maand tijd kunnen er best nieuwe mensen in de omgeving zijn komen wonen.

Na terugkomst vond ik haar gedrag veranderd dus heb ik de afspraak (die al stond) even overlegd met de kliniek en afgezegd/ uitgesteld. Ze was heel lief en in een constante staat van mega-chill, op de zachte badmat. Hetzelfde als ik toen ik zelf zwanger was :D, dus ik herkende haar gedrag. Toen haar buikje van bovenaf te zien was werd duidelijk dat zij inderdaad in verwachting is (ze is een erg slanke poes van zichzelf). Inmiddels word haar buikje duidelijker, deze beweegt ook in rustmomenten. Wij zijn nu anderhalve maand thuis, ik heb zelf het idee dat zij ongeveer een week of 6/7 zwanger is, van een bescheiden aantal kittens, als valt het met haar halflange vacht niet heel goed in te schatten.

Ik heb een nesteldoos gemaakt met de badmat waar ze graag op ligt. Daar ligt ze nu ook in. Zaterdag haal ik een keukenweegschaal, en ik vroeg me af of ik (ik werk 40pw, ben van 07:15 tot 18:45 van huis, in het centrum van Amsterdam waar vrijwel geen dierenzaken zitten. Vriend hetzelfde verhaal) kittenmelk bij de dierenspeciaalzaak kan halen, of dat ik beter naar de kliniek kan gaan hiervoor? Of een online merk dat jullie aanraden in geval dat ik bij moet voeden?

Verder zijn alle tips welkom? Heb op werk (stage) al wel een balletje op gegooid dat ik met een (ongewenst) zwangere soort opvang/ nieuwe poes zit. Hopelijk en vermoedelijk kan ik wel vrij krijgen indien nodig (vooral vrouwen met kinderen waar ik onder werk). Hopelijk bevalt zij in de late namiddag, avond/ nacht, of liever het weekend. Ik wil er hoe dan ook bij zijn. Voel me al een uilskuiken dat ze toch zwanger is geraakt.

Wat zijn tekenen van een naderende bevalling?
Behalve een weegschaal, handschoenen en steriel ander spul is nog handig om in huis te hebben? Ik heb gaaskompressen, steriele onderleggers voor na de bevalling. Een schaar heb ik toevallig steriel, ook nog twee navelklemmen (ik las iets over steriel draad op internet indien ik zelf de streng moet losmaken).
Schone handdoeken.
Zuigflesjes voor kittens, waar haal ik dat?
Waar let ik op verder? Ik kan niet zomaar een week vrij nemen.

Bij haar eerste bevalling was zij alleen, 1 van de kittens heeft het toen niet gered. De eerste die weg ging heeft zij tot 16 weken zelf gevoed. De rest langer en dat ging goed. Ze is een zorgzame pos en ik heb vertrouwn in haar, maar je weet het nooit.

Ik vind het maar spannend allemaal.

[ Bericht 0% gewijzigd door #ANONIEM op 15-09-2017 03:07:03 ]
MrDarcyvrijdag 15 september 2017 @ 10:29
Nou mensen. Het niet echt ok met mijn agressieve beestje. Afgelopen week begon ze scheef te lopen. Net als iemand die dronken is zegmaar.

Zo naar de dierenarts.
MrDarcyvrijdag 15 september 2017 @ 13:09
Ze heeft waarschijnlijk een soort hersenbloeding gehad. Zoals het er naar uit ziet wordt het alleen maar erger over de tijd. Ze viel ook om op die metalen tafel. Allemaal erg zielig. Advies van de dierenarts is haar in te laten slapen begin volgende week.

:(
motorbloempjevrijdag 15 september 2017 @ 13:09
Ocherm.... ;( :*
Lienekienvrijdag 15 september 2017 @ 13:35
Och, wat sneu. Veel sterkte.
MrDarcyvrijdag 15 september 2017 @ 13:39
quote:
9s.gif Op vrijdag 15 september 2017 13:35 schreef Lienekien het volgende:
Och, wat sneu. Veel sterkte.
Ik ga er een superweekend van maken met haar. Sheba, borstelen, film kijken op de bank. Afspraak gemaakt voor maandagochtend. ;(
Sorellavrijdag 15 september 2017 @ 16:30
Heel veel sterkte en verwen haar nog maar even fijn.
Vinniieevrijdag 15 september 2017 @ 17:23
Sterkte :*
HaverMoutKoekjevrijdag 15 september 2017 @ 17:35
quote:
0s.gif Op vrijdag 15 september 2017 13:09 schreef MrDarcy het volgende:
Ze heeft waarschijnlijk een soort hersenbloeding gehad. Zoals het er naar uit ziet wordt het alleen maar erger over de tijd. Ze viel ook om op die metalen tafel. Allemaal erg zielig. Advies van de dierenarts is haar in te laten slapen begin volgende week.

:(
hoe oud is ze?
lilyzaterdag 16 september 2017 @ 09:49
Mijn noorse boskat (vrouwtje) heeft twee jaar geleden een hersenbloeding gehad.
Omtuimelen, dronken lopen, scheve kop, overal afkiepen.

Van onze da in Hasselt kregen we prednison en was het afwachten hoe ze zich zou ontwikkelen.
Na een paar weken herstellen ging het langzaam beter.

Nu gaat het prima.
Ze is bijna geheel hersteld. Haar kopje is nog ietwat scheef en haar gehoor is iets minder maar verder functioneert ze ze als vanouds.

Ze is eigenlijk gezelliger geworden (van een wat schuwe naar aanhankelijke poes)
Lienekienzaterdag 16 september 2017 @ 10:11
Ik weet niet of het fijn is zo'n ervaring te lezen als je de knoop mbt euthanasie al hebt doorgehakt.
lilyzaterdag 16 september 2017 @ 10:50
Daarom post ik het ook.
Wellicht kan ze het nog even aankijken?

Het is echt niet de bedoeling om iemand iets in te wrijven ofzo :{
sylvesterrrzaterdag 16 september 2017 @ 14:23
quote:
0s.gif Op vrijdag 15 september 2017 13:09 schreef MrDarcy het volgende:
Ze heeft waarschijnlijk een soort hersenbloeding gehad. Zoals het er naar uit ziet wordt het alleen maar erger over de tijd. Ze viel ook om op die metalen tafel. Allemaal erg zielig. Advies van de dierenarts is haar in te laten slapen begin volgende week.

:(
;( Sterkte!
F_rzaterdag 16 september 2017 @ 15:15
Mrdarcy sterkte.
MrDarcyzaterdag 16 september 2017 @ 17:53
quote:
1s.gif Op zaterdag 16 september 2017 10:50 schreef lily het volgende:
Daarom post ik het ook.
Wellicht kan ze het nog even aankijken?

Het is echt niet de bedoeling om iemand iets in te wrijven ofzo :{
Goed bedoelt hoor, geen probleem. Ik ben op het advies van de dierenarts af gegaan. Dat zal wel wel weloverwogen zijn. Heb ook om andere opties gevraagd. Ze is vier jaar oud.
lilyzaterdag 16 september 2017 @ 18:24
Fijn dat je zo reageert.

Ik vertel inderdaad alleen mijn eigen ervaring en die was in eerste instantie hetzelfde, en het heeft ook echt wel even tijd nodig gehad, maar ze is er bovenop gekomen. Wel met medicijnen (prednison) die eerste tijd.
Het is niet mijn bedoeling iemand een slecht gevoel te geven in ieder geval.

Ik wens je uiteraard veel sterkte..

SPOILER
oh, en excuses voor het "ze" want ik zie nu dat je man bent...
nu zegt mr ook wel wat :')
HaverMoutKoekjezaterdag 16 september 2017 @ 18:47
quote:
0s.gif Op zaterdag 16 september 2017 17:53 schreef MrDarcy het volgende:

[..]

Goed bedoelt hoor, geen probleem. Ik ben op het advies van de dierenarts af gegaan. Dat zal wel wel weloverwogen zijn. Heb ook om andere opties gevraagd. Ze is vier jaar oud.
ach wat een jonkie nog
LPFANzaterdag 16 september 2017 @ 19:22
ah wat jong nog ;( Heel veel sterkte MrDarcy!
MrDarcyzaterdag 16 september 2017 @ 19:45
quote:
SPOILER
oh, en excuses voor het "ze" want ik zie nu dat je man bent...
nu zegt mr ook wel wat :')
Ja ik dacht dat je het over de poes had :P
bedachtzaamwoensdag 20 september 2017 @ 00:23
quote:
99s.gif Op vrijdag 15 september 2017 03:03 schreef Myrr het volgende:
In principe moet je moederpoes gewoon lekker haar gang laten gaan.
Zit ze ineens op vreemde plekjes en hoekjes? dan duurt het niet lang meer.
Je kunt naast de badmat ook zorgen voor één of twee fleecedekens om de doos te verschonen en natuurlijk moet de doos op een plekje staan waar het niet koud is.

De naderende bevalling merk je doordat ze aanhankelijker word en naar veilige plekjes zoekt om de kittens te krijgen.
De geboorte van de kittens kan redelijk snel gaan, bij Veleda (haar eerste nest) kwamen de eerste 3 kittens als een klokwerk binnen 30 minuten van elkaar, de vierde en laatste kitten kwam pas 12 uur later.
Moederpoes bijt zelf de navelstreng door en maakt de kleintjes schoon, mocht je daarbij moeten helpen dan kun je nog denken aan isobetadine (halen bij de DA) om de naveltjes te ontsmetten.
Bij Veleda heb ik niet hoeven ingrijpen, alles ging heel goed dus het flesje dat ik had staan gaat weer mee terug naar de DA.
Voor moederpoes is het fijn als ze goede en voldoende voeding krijgt, de extra energie kan ze wel gebruiken zolang de kleintjes bij haar drinken.
De kleintjes bijvoeden moet in principe niet nodig zijn, best laat je ze lekker gaan en pak je ze alleen even om dagelijks te wegen.
Moederpoes zal dat misschien niet willen, om de kleintjes van Veleda te wegen heb ik de schaal even in de doos gezet en na anderhalve week vond ze het goed als ik een kitten uit de doos pakte om te wegen.

Natuurlijk verwachten we een topic met verlag :)

Als je spullen gaat halen omdat je moet bijvoeden kun je volgens mij het beste naar de DA gaan.
Dan ben je zeker van goede flesjes en uitleg over hoe bij te voeden.
#ANONIEMwoensdag 20 september 2017 @ 01:58
quote:
1s.gif Op zaterdag 16 september 2017 09:49 schreef lily het volgende:
Mijn noorse boskat (vrouwtje) heeft twee jaar geleden een hersenbloeding gehad.
Omtuimelen, dronken lopen, scheve kop, overal afkiepen.

Van onze da in Hasselt kregen we prednison en was het afwachten hoe ze zich zou ontwikkelen.
Na een paar weken herstellen ging het langzaam beter.

Nu gaat het prima.
Ze is bijna geheel hersteld. Haar kopje is nog ietwat scheef en haar gehoor is iets minder maar verder functioneert ze ze als vanouds.

Ze is eigenlijk gezelliger geworden (van een wat schuwe naar aanhankelijke poes)
Dit is vrijwel hetzelfde met de Main Coon van mijn oom. Hersenbloeding, snelle behandeling. Nu idd hoorproblemen en vrij sloom, maat de bloeding is al een jaar of zeven geleden en het gaat vrij goed met hem.
vroniewoensdag 20 september 2017 @ 02:02
quote:
0s.gif Op zaterdag 16 september 2017 17:53 schreef MrDarcy het volgende:

[..]

Goed bedoelt hoor, geen probleem. Ik ben op het advies van de dierenarts af gegaan. Dat zal wel wel weloverwogen zijn. Heb ook om andere opties gevraagd. Ze is vier jaar oud.
Hoe gaat het nu kom je deze dagen een beetje door
#ANONIEMwoensdag 20 september 2017 @ 02:11
quote:
7s.gif Op woensdag 20 september 2017 00:23 schreef bedachtzaam het volgende:

[..]

In principe moet je moederpoes gewoon lekker haar gang laten gaan.
Zit ze ineens op vreemde plekjes en hoekjes? dan duurt het niet lang meer.
Je kunt naast de badmat ook zorgen voor één of twee fleecedekens om de doos te verschonen en natuurlijk moet de doos op een plekje staan waar het niet koud is.

De naderende bevalling merk je doordat ze aanhankelijker word en naar veilige plekjes zoekt om de kittens te krijgen.
De geboorte van de kittens kan redelijk snel gaan, bij Veleda (haar eerste nest) kwamen de eerste 3 kittens als een klokwerk binnen 30 minuten van elkaar, de vierde en laatste kitten kwam pas 12 uur later.
Moederpoes bijt zelf de navelstreng door en maakt de kleintjes schoon, mocht je daarbij moeten helpen dan kun je nog denken aan isobetadine (halen bij de DA) om de naveltjes te ontsmetten.
Bij Veleda heb ik niet hoeven ingrijpen, alles ging heel goed dus het flesje dat ik had staan gaat weer mee terug naar de DA.
Voor moederpoes is het fijn als ze goede en voldoende voeding krijgt, de extra energie kan ze wel gebruiken zolang de kleintjes bij haar drinken.
De kleintjes bijvoeden moet in principe niet nodig zijn, best laat je ze lekker gaan en pak je ze alleen even om dagelijks te wegen.
Moederpoes zal dat misschien niet willen, om de kleintjes van Veleda te wegen heb ik de schaal even in de doos gezet en na anderhalve week vond ze het goed als ik een kitten uit de doos pakte om te wegen.

Natuurlijk verwachten we een topic met verlag :)

Als je spullen gaat halen omdat je moet bijvoeden kun je volgens mij het beste naar de DA gaan.
Dan ben je zeker van goede flesjes en uitleg over hoe bij te voeden.
Oh jetje, een een verslag ga ik denk ik niet bijhouden, heb het bij mijn zoon geprobeerd en dat schrift is nog steeds 1/4 leeg. :@ :D Heb ook helemaal geen tijd voor fok nu. Buik groeit maar weinig. Wel aanzienlijk, maar er zijn geen tepels te zien nog en die zouden nu wel ong (ondanks kwart Pers) te zien moeten zijn denk ik? Ik laat het voelen met rust. Vrijdag ben ik een halve dag vrij dus dan ga ik naar de DA voor de zekerheid. Ze is vooralsnog met bewijs gedekt door een gecastreerde kater, gedraagt zich verder super zwangeren buikje groeit IETS. Ze eet heel veel de laatste tijd, dus hey, who, knows, ik zou het luk vinden, maar ik wacht vrijdag af. Ze is op de zijkant en vanaf boven aanzicht nog niet SUPER zwanger. Wel ligt ze heel veel in haar netelroos, verder heb ik echt 20 grote hydrofieldoeken. Ze ligt graag in de doos, is afhankelijk (normaal eigenwijzer met naar binnen komen, maar de laatste dagen hof ik maar TJjjtjtjtj te doen en ze staat naast me). Sowieso stalkt ze me erg als ik thuis ben.

Anyhow, vrijdag even op controle. Haar tepels die nog niet naar buiten komen, baren mij zorgen. Ben al bijna zes weken thuis.

Bijvoeden zal overigens vrij natuurlijk gaan vermoed ik. Lukte bij een verschrikkelijk eigenwijze kater van 4 kilo ook zonder sonde, dat gaat met kitjes ook wel lukken. Moedergevoel is te sterk hierin :D het enig blok is mijn stage die ik nu loop (en afmelden), maar ik kan moeilijk daar verschijn terwijl m'n katje of een van haar kittens in nood is. Prioriteit. :6
Cue_woensdag 20 september 2017 @ 14:00
Mijn katten krijgen sindskort soms eigeel, ivm dat ik het anders weggooi.
Zij zijn er helemaal verzot op, dus mooi.

Maar.. de kleine die vind het zo lekker dat ik niet eens rustig zijn bakje kan neerzetten. Met brokjes gaat dit niet goed, maar met t ei dan springt hij gewoon omhoog en slaat hem daarmee zelf soms uit m'n handen.

Gewoon niet meer geven of hoe zorg ik dat hij in ieder geval niet meer springt en de bak omgooit. Tips?
Cat-astrophewoensdag 20 september 2017 @ 14:02
Bak neerzetten in een andere kamer en dan pas kat binnen laten? Of op een hoog oppervlak waar je hem daarna optilt?
#ANONIEMwoensdag 20 september 2017 @ 14:47
Onze twee katten zijn inmiddels aardig groot (Noorse Boskatten) en ze passen bijna niet meer op hun normale kattenbakken (50x40x40). Nu zijn we dus op zoek naar een grotere. Vroeg me af of iemand een aanrader heeft, want er zijn er zoveel. Wel eentje waar het deurtje er uit kan, of waar die er uberhaupt niet in zit. Ze zijn deurtjes niet gewend namelijk.
Sorellawoensdag 20 september 2017 @ 14:53
Mijn broer heeft een driehoek kattenbak bij de dierenzaak gekocht die een stukje groter is als een normale.

Zoiets: https://tims.nl/_1-savic-(...)wit-58,5x45,5x40-cm/

Kwam deze ook tegen: https://tims.nl/_1-savic-(...)js--wit-66x48x46-cm/
vroniewoensdag 20 september 2017 @ 15:09
Ik heb deze.
https://www.petsgifts.nl/(...)jumbo-xxl-zwart.html
deurtje kan eruit.
Cat-astrophewoensdag 20 september 2017 @ 15:10
quote:
5s.gif Op woensdag 20 september 2017 14:47 schreef AlwaysHappy het volgende:
Onze twee katten zijn inmiddels aardig groot (Noorse Boskatten) en ze passen bijna niet meer op hun normale kattenbakken (50x40x40). Nu zijn we dus op zoek naar een grotere. Vroeg me af of iemand een aanrader heeft, want er zijn er zoveel. Wel eentje waar het deurtje er uit kan, of waar die er uberhaupt niet in zit. Ze zijn deurtjes niet gewend namelijk.
Geen specifieke tips maar bij elke bak die ik heb gehad wip je het deurtje er zo uit. Ik heb ook deurweigeraars namelijk. :')
#ANONIEMwoensdag 20 september 2017 @ 15:15
Dank voor de tips! De Savic en de Bernina zien er het beste uit denk ik O+
Cue_woensdag 20 september 2017 @ 15:22
quote:
0s.gif Op woensdag 20 september 2017 14:02 schreef Cat-astrophe het volgende:
Bak neerzetten in een andere kamer en dan pas kat binnen laten? Of op een hoog oppervlak waar je hem daarna optilt?
in de andere kamer is hij sneller dan ik.
Eens hoger neerzetten zou ik kunnen proberen, al ben ik bang dat ie bak alsnog tijdens het eten eraf valt :+
MrDarcydonderdag 21 september 2017 @ 09:19
quote:
0s.gif Op woensdag 20 september 2017 02:02 schreef vronie het volgende:

[..]

Hoe gaat het nu kom je deze dagen een beetje door
Maandag heb ik haar in laten slapen. Dat was allemaal niet zo fijn. Het beestje heeft geen idee wat er gaat gebeuren op dat moment. Gelukkig ging het allemaal heel snel en heb haar kopje vastgehouden tot het einde. Heel gek allemaal ;(
motorbloempjedonderdag 21 september 2017 @ 09:22
Och ;( sterkte :'( :*
Sorelladonderdag 21 september 2017 @ 17:17
Sterkte MrDarcy
fluitbekzeenaald2.0donderdag 21 september 2017 @ 20:14
quote:
5s.gif Op woensdag 20 september 2017 14:47 schreef AlwaysHappy het volgende:
Onze twee katten zijn inmiddels aardig groot (Noorse Boskatten) en ze passen bijna niet meer op hun normale kattenbakken (50x40x40). Nu zijn we dus op zoek naar een grotere. Vroeg me af of iemand een aanrader heeft, want er zijn er zoveel. Wel eentje waar het deurtje er uit kan, of waar die er uberhaupt niet in zit. Ze zijn deurtjes niet gewend namelijk.
Maxi Bella kattenbak. Speciaal voor grote katten, heb hem zelf voor Maine Coons. Er zit wel een deurtje in kan er vast wel uit.
fluitbekzeenaald2.0donderdag 21 september 2017 @ 20:17
quote:
0s.gif Op donderdag 21 september 2017 09:19 schreef MrDarcy het volgende:

[..]

Maandag heb ik haar in laten slapen. Dat was allemaal niet zo fijn. Het beestje heeft geen idee wat er gaat gebeuren op dat moment. Gelukkig ging het allemaal heel snel en heb haar kopje vastgehouden tot het einde. Heel gek allemaal ;(
Ja raar is zoiets hè. Zo snel als het gaat, zo'n beestje dat het niet begrijpt en dan opeens weg is. Sterkte.
fluitbekzeenaald2.0donderdag 21 september 2017 @ 20:22
quote:
1s.gif Op woensdag 20 september 2017 15:22 schreef Cue_ het volgende:

[..]

in de andere kamer is hij sneller dan ik.
Eens hoger neerzetten zou ik kunnen proberen, al ben ik bang dat ie bak alsnog tijdens het eten eraf valt :+
Gewoon wegduwen en nee zeggen totdat hij wat meer afstand neemt? Ik zou niet accepteren dat een kat iets uit mijn handen slaat.
Lienekiendonderdag 21 september 2017 @ 20:25
Sterkte, MrDarcy.
ConqueringChaosdonderdag 21 september 2017 @ 20:42
Sterkte McDarcy :'(
#ANONIEMdonderdag 21 september 2017 @ 21:16
quote:
0s.gif Op donderdag 21 september 2017 09:19 schreef MrDarcy het volgende:

[..]

Maandag heb ik haar in laten slapen. Dat was allemaal niet zo fijn. Het beestje heeft geen idee wat er gaat gebeuren op dat moment. Gelukkig ging het allemaal heel snel en heb haar kopje vastgehouden tot het einde. Heel gek allemaal ;(
Sterkte he -O-
MrDarcydonderdag 21 september 2017 @ 22:32
Thanks allemaal. Lief :)
vronievrijdag 22 september 2017 @ 00:42
quote:
0s.gif Op donderdag 21 september 2017 09:19 schreef MrDarcy het volgende:

[..]

Maandag heb ik haar in laten slapen. Dat was allemaal niet zo fijn. Het beestje heeft geen idee wat er gaat gebeuren op dat moment. Gelukkig ging het allemaal heel snel en heb haar kopje vastgehouden tot het einde. Heel gek allemaal ;(
Veel sterkte
Cue_vrijdag 22 september 2017 @ 07:37
quote:
1s.gif Op donderdag 21 september 2017 20:22 schreef fluitbekzeenaald2.0 het volgende:

Gewoon wegduwen en nee zeggen totdat hij wat meer afstand neemt? Ik zou niet accepteren dat een kat iets uit mijn handen slaat.
Dat probeer ik ook, maarja, eenmaal uit handen kan ik er weinig meer mee ;)
fluitbekzeenaald2.0vrijdag 22 september 2017 @ 12:24
quote:
6s.gif Op vrijdag 22 september 2017 07:37 schreef Cue_ het volgende:

[..]

Dat probeer ik ook, maarja, eenmaal uit handen kan ik er weinig meer mee ;)
Dan zou ik hem optillen en in een andere ruimte zetten en daarna schoonmaken. Als je hem laat eten nadat het is gevallen beloon je hem.
Cue_vrijdag 22 september 2017 @ 12:26
quote:
1s.gif Op vrijdag 22 september 2017 12:24 schreef fluitbekzeenaald2.0 het volgende:

Dan zou ik hem optillen en in een andere ruimte zetten en daarna schoonmaken. Als je hem laat eten nadat het is gevallen beloon je hem.
Heb je wel een punt ja
summer2birdzondag 24 september 2017 @ 10:50
Ollie wilde vanmorgen niet eten.

Hij deed zijn normale ding niet, zoals naar de etensbak rennen als ik in beeld kwam en dan in een keer de bak leeg eten als ik hem had gevuld.
Hij bleef gewoon op de bank liggen.

Dus ik heb meteen zijn oude voer ook aangeboden en daarna, toen hij dat ook niet wilde, wat natvoer uit blik opgewarmd en aangeboden.

Nu eet hij weer, eerst een heel klein hapje en nu weer normaal.

Ik kijk het wel even aan, maar morgen ga ik op vakantie en past mijn zusje op hem. Wat moet ik doen?

Hij wast zich nu ook en heeft ook achter wat vogels aan gezeten.
Kan het zijn dat hij misselijk was en door wat te eten nu niet meer misselijk is?
Sorellazondag 24 september 2017 @ 11:11
Misschien was je kat misselijk, misschien wil hij niet eten omdat je op vakantie gaat ? Hoogstwaarschijnlijk eet hij weer gewoon ;) maar toen Banjer niet wou eten heb ik na 2 dagen de dierenarts gebeld en 2 blikjes (krachtvoer ?) gehaald met een spuit om het desnoods in zijn bek te spuiten.
Ik ben als de dood voor leververvetting dus beter te vroeg aan de bel trekken als te laat.
valentijn101zondag 24 september 2017 @ 11:14
quote:
99s.gif Op zondag 24 september 2017 10:50 schreef summer2bird het volgende:
Ollie wilde vanmorgen niet eten.

Hij deed zijn normale ding niet, zoals naar de etensbak rennen als ik in beeld kwam en dan in een keer de bak leeg eten als ik hem had gevuld.
Hij bleef gewoon op de bank liggen.

Dus ik heb meteen zijn oude voer ook aangeboden en daarna, toen hij dat ook niet wilde, wat natvoer uit blik opgewarmd en aangeboden.

Nu eet hij weer, eerst een heel klein hapje en nu weer normaal.

Ik kijk het wel even aan, maar morgen ga ik op vakantie en past mijn zusje op hem. Wat moet ik doen?

Hij wast zich nu ook en heeft ook achter wat vogels aan gezeten.
Kan het zijn dat hij misselijk was en door wat te eten nu niet meer misselijk is?
Misschien is hij gewoon een beetje in de war omdat er andere dingen als normaal in huis gebeuren. Koffers die van zolder komen en gevuld worden en dat soort dingen.

Misschien weet hij nog van een eerdere vakantie dat dat betekent dat hij je een tijdje niet ziet.
Goddelijkerzondag 24 september 2017 @ 11:19
Ik denk dat hij heel goed aanvoelt dat er weer 'iets' staat te gebeuren. :Y
summer2birdzondag 24 september 2017 @ 11:39
Poes eet weer *O*
Al niet zijn hele bak leeg maar de helft leeg.
Maar hij eet *O*
Ik typ ff instructies aan zusje op papier wat ze moet doen als hij echt niet meer wil eten.
Zeg maar worst case.
Dan moet ze naar de DA met hem gaan.

Maar eerst proberen met warm natvoer.

Hopelijk hoeft dat allemaal niet. :)

EDIT: hij is nu al het natvoer aan het opsmikkelen *O*

[ Bericht 11% gewijzigd door summer2bird op 24-09-2017 11:52:59 ]
Sorellazondag 24 september 2017 @ 13:12
*O* en zo komt alles weer goed *O* ^O^
Civilianvrijdag 6 oktober 2017 @ 12:37
Binnenkort moet ik mijn poezelewoepsjeTM O+ laten steriliseren, dus ik belde vanmorgen voor een prijs indicatie.
Kwam ze met "rond de 184 euro"..

Ligt dat aan mij of is dat best prijzig?
Lienekienvrijdag 6 oktober 2017 @ 12:46
Dat is wel aan de dure kant, ja.

Persoonlijk zou ik de operatie liefst laten doen bij de dierenarts waar ik ervaring mee heb en die ik vertrouw, liever dan alleen op de prijs afgaan.

Afgezien daarvan weet ik dat de opvang waar onze poes (gesteriliseerd en wel) vandaan komt, een eigen operatiekamer heeft en castratie/sterilisatie tegen gereduceerd tarief aanbiedt (en ze halen ook katten van de straat om die te laten helpen, als methode om kattenoverschot te bestrijden). Die zou ik ook wel aanbevelen (Kat in Nood, Drachtstercompagnie).
Amavrijdag 6 oktober 2017 @ 12:47
quote:
7s.gif Op vrijdag 6 oktober 2017 12:37 schreef Civilian het volgende:
Binnenkort moet ik mijn poezelewoepsjeTM O+ laten steriliseren, dus ik belde vanmorgen voor een prijs indicatie.
Kwam ze met "rond de 184 euro"..

Ligt dat aan mij of is dat best prijzig?
Volgens mij was dat bij mijn kat 90 euro ofzo.. dat vond ik wel duur genoeg. :o

Als duurder was had ik het ook wel gedaan want ging gewoon naar mijn eigen dierenarts.
Civilianvrijdag 6 oktober 2017 @ 12:51
quote:
1s.gif Op vrijdag 6 oktober 2017 12:46 schreef Lienekien het volgende:
Dat is wel aan de dure kant, ja.

Persoonlijk zou ik de operatie liefst laten doen bij de dierenarts waar ik ervaring mee heb en die ik vertrouw, liever dan alleen op de prijs afgaan.

Afgezien daarvan weet ik dat de opvang waar onze poes (gesteriliseerd en wel) vandaan komt, een eigen operatiekamer heeft en castratie/sterilisatie tegen gereduceerd tarief aanbiedt (en ze halen ook katten van de straat om die te laten helpen, als methode om kattenoverschot te bestrijden). Die zou ik ook wel aanbevelen (Kat in Nood, Drachtstercompagnie).
Ja nou ja.. Ik heb dus nog geen dierenarts hier :) Dus dit wordt sowieso mijn eerste bezoekje en dit is ook de enige die ik nog een beetje goed kan bereiken.

https://dierenziekenhuistilburg.nl/welkom

Die is 't trouwens
Candaasjevrijdag 6 oktober 2017 @ 13:03
Is dat inclusief pijnstillers, een kraagje of een medical pet shirt en nacontrole?

Ik vind het nog wel aan de dure kant overigens. Tot ongeveer 150 euro is gangbaarder naar mijn weten. Nu kan er wel verschil zitten tussen de ene en de andere dierenarts (qua methoden, qua faciliteiten, etc.) dus een prijsverschil op zich vind ik niet gek, maar toch.

Anderzijds; het ziet er op de website wel uit als een moderne praktijk waar veel kan en dat is ook wel wat waard, mocht er een keer uitgebreider onderzoek/behandeling nodig zijn. (Altijd doorgestuurd moeten worden is ook niks). :)
valentijn101vrijdag 6 oktober 2017 @ 13:10
Misschien doet deze dierenarts het al via een kijkoperatie ipv haar helemaal open te ritsen?
Idd https://dierenziekenhuistilburg.nl/sterilisatie-poes

Daar zit dus het prijsverschil
Candaasjevrijdag 6 oktober 2017 @ 13:15
quote:
1s.gif Op vrijdag 6 oktober 2017 13:10 schreef valentijn101 het volgende:
Misschien doet deze dierenarts het al via een kijkoperatie ipv haar helemaal open te ritsen?
Dat heeft bij katten en kleine hondjes eigenlijk weinig of zelfs geen meerwaarde. Voor laparoscopisch steriliseren moeten er namelijk twee gaatjes gemaakt worden (één voor de camera, één voor het instrument om de eileiders af te kunnen snijden en tegelijkertijd dicht te branden). Dus in de praktijk komt het er vaak op neer dat je dan meer wondjes hebt dan bij een 'klassieke' operatie.
(Plus dat als de kat niet al te oud, niet al te moddervet en een beetje makkelijk vindbare eierstokjes heeft, het wondje sowieso al niet groot wordt. 1-2cm lukt meestal wel, op een enkele uitzondering na.)
Studiotjevrijdag 6 oktober 2017 @ 22:05
Is het normaal dat een kat gaat hijgen na het hyperactief spelen met een nepmuisje? :P

Beest is 11 jaar, niks boeit hem en is super lui, niks kan hem boeien totdat je zo'n klein ramelend muisje tevoorschijn haalt. Beest word dan helemaal gek en hyper, spint als een malle en grote pupillen (en er zit geen eens catnip in). Alleen hijgt hij na het zoveelste wegtrappen en achteraan rennen en dat ziet er eng uit :@. Maar dit is toch normaal net als honden? Toch? Ja toch?

Beetje bang voor aangezien m'n vorige kat dat ook deed zonder iets te doen, alleen die bleek iets met de niertjes te hebben wat uiteindelijk z'n dood werd.
summer2birdvrijdag 6 oktober 2017 @ 22:10
quote:
10s.gif Op vrijdag 6 oktober 2017 22:05 schreef Studiotje het volgende:
Is het normaal dat een kat gaat hijgen na het hyperactief spelen met een nepmuisje? :P

Beest is 11 jaar, niks boeit hem en is super lui, niks kan hem boeien totdat je zo'n klein ramelend muisje tevoorschijn haalt. Beest word dan helemaal gek en hyper, spint als een malle en grote pupillen (en er zit geen eens catnip in). Alleen hijgt hij na het zoveelste wegtrappen en achteraan rennen en dat ziet er eng uit :@. Maar dit is toch normaal net als honden? Toch? Ja toch?

Beetje bang voor aangezien m'n vorige kat dat ook deed zonder iets te doen, alleen die bleek iets met de niertjes te hebben wat uiteindelijk z'n dood werd.
Als katten hijgen kan het te maken hebben met hun hart. Tis niet normaal. Volgens mij dan. :@
Studiotjevrijdag 6 oktober 2017 @ 22:13
quote:
99s.gif Op vrijdag 6 oktober 2017 22:10 schreef summer2bird het volgende:

[..]

Als katten hijgen kan het te maken hebben met hun hart. Tis niet normaal. Volgens mij dan. :@
:o :'(

Het is echt 5 minuten hijgen. En het gebeurt alleen als die even hyper is.
Sorellavrijdag 6 oktober 2017 @ 22:15
Die van mij hijgde eergisteren ook maar dat kwam door het intensief achter een veertje aan jagen en afgelopen maandag voor jaarlijkse inentingen en controle bij de da geweest en zijn hart was goed.
Je zou voor alle zekerheid zijn hart kunnen laten controleren maar de kat heeft hoogstwaarschijnlijk geen conditie, vergelijk het met bv 5 km flink doorlopen dan ben jij ook bekaf :)
Studiotjevrijdag 6 oktober 2017 @ 22:20
quote:
0s.gif Op vrijdag 6 oktober 2017 22:15 schreef Sorella het volgende:
Die van mij hijgde eergisteren ook maar dat kwam door het intensief achter een veertje aan jagen en afgelopen maandag voor jaarlijkse inentingen en controle bij de da geweest en zijn hart was goed.
Je zou voor alle zekerheid zijn hart kunnen laten controleren maar de kat heeft hoogstwaarschijnlijk geen conditie, vergelijk het met bv 5 km flink doorlopen dan ben jij ook bekaf :)
Ja, misschien wel een keer goed om te laten controleren. 11 jaar is ook niet de jongste meer (en ook niet super oud, toch?)
Cue_vrijdag 6 oktober 2017 @ 22:22
quote:
10s.gif Op vrijdag 6 oktober 2017 22:05 schreef Studiotje het volgende:
Is het normaal dat een kat gaat hijgen na het hyperactief spelen met een nepmuisje? :P

Beest is 11 jaar, niks boeit hem en is super lui, niks kan hem boeien totdat je zo'n klein ramelend muisje tevoorschijn haalt. Beest word dan helemaal gek en hyper, spint als een malle en grote pupillen (en er zit geen eens catnip in). Alleen hijgt hij na het zoveelste wegtrappen en achteraan rennen en dat ziet er eng uit :@. Maar dit is toch normaal net als honden? Toch? Ja toch?

Beetje bang voor aangezien m'n vorige kat dat ook deed zonder iets te doen, alleen die bleek iets met de niertjes te hebben wat uiteindelijk z'n dood werd.
Mijn kitten deed dat vroeger wel eens. Maar heeft ook een klein ruisje in t hart.
Nu heeft ie er of geen last meer van of hij speelt niet meer zo intens,want hijgen doet ie niet meer :+
summer2birdvrijdag 6 oktober 2017 @ 22:25
quote:
9s.gif Op vrijdag 6 oktober 2017 22:13 schreef Studiotje het volgende:

[..]

:o :'(

Het is echt 5 minuten hijgen. En het gebeurt alleen als die even hyper is.
Je kan het laten nakijken, maar het kan ook net zo goed de conditie van je kat zijn idd.
Sorellavrijdag 6 oktober 2017 @ 22:46
quote:
0s.gif Op vrijdag 6 oktober 2017 22:20 schreef Studiotje het volgende:

[..]

Ja, misschien wel een keer goed om te laten controleren. 11 jaar is ook niet de jongste meer (en ook niet super oud, toch?)
Middelbare leeftijd :)
valentijn101vrijdag 6 oktober 2017 @ 22:59
Een van onze 3 (2 jaar oud, pas nog op controlle geweest) doet dat ook als ze opgewonden aan het spelen is.
Goddelijkerzaterdag 7 oktober 2017 @ 09:27
Onze kat van 1 jaar oud doet het ook, als hij een flinke partij heeft lopen rennen :+
LittleBrowniezaterdag 7 oktober 2017 @ 11:14
Per ongeluk Feliway Friends gekocht in plaats van Classic. Is het effect hetzelfde bij beide?
#ANONIEMzaterdag 7 oktober 2017 @ 11:58
quote:
9s.gif Op zaterdag 7 oktober 2017 11:14 schreef LittleBrownie het volgende:
Per ongeluk Feliway Friends gekocht in plaats van Classic. Is het effect hetzelfde bij beide?
Friends is meer gericht op irritatie tussen twee katten verlichten, zoals de naam al doet vermoeden. Het zijn wel wat andere stofjes. Ik zou het gewoon proberen.
Studiotjezaterdag 7 oktober 2017 @ 13:26
Toch maar gebeld met de dierenarts en moest even langskomen :@ katbeest is super gezond maar heeft een conditie van een borrelnoot :P
valentijn101zaterdag 7 oktober 2017 @ 14:44
quote:
0s.gif Op zaterdag 7 oktober 2017 13:26 schreef Studiotje het volgende:
Toch maar gebeld met de dierenarts en moest even langskomen :@ katbeest is super gezond maar heeft een conditie van een borrelnoot :P
_O-
3x per dag flink spelen voorgeschreven?
summer2birdzaterdag 7 oktober 2017 @ 14:48
quote:
0s.gif Op zaterdag 7 oktober 2017 13:26 schreef Studiotje het volgende:
Toch maar gebeld met de dierenarts en moest even langskomen :@ katbeest is super gezond maar heeft een conditie van een borrelnoot :P
Dat wordt op de hometrainer maar!
Studiotjezaterdag 7 oktober 2017 @ 14:55
quote:
1s.gif Op zaterdag 7 oktober 2017 14:44 schreef valentijn101 het volgende:

[..]

_O-
3x per dag flink spelen voorgeschreven?
Hahaha jep :P hoe meer ie dat deed dan werd het vanzelf wel beter.

Dus maar even honderden van die speelmuisjes inslaan en tergelijk gooien. :Y
Amazaterdag 7 oktober 2017 @ 14:56
Sommige hier zullen het vast zielig vinden maar ik vind een laserpen wel goed speelgoed om de kat te laten rennen. Ik gebruik dat ding niet dagelijks maar als ik hem gebruik dan heeft de kat ook wel weer even wat beweging gehad. :D

Natuurlijk kijk ik uit voor haar oogjes en als ik klaar ben gooi ik vaak een balletje ofzo zodat ze echt iets heeft.
Studiotjezaterdag 7 oktober 2017 @ 14:59
quote:
2s.gif Op zaterdag 7 oktober 2017 14:56 schreef Amarantha het volgende:
Sommige hier zullen het vast zielig vinden maar ik vind een laserpen wel goed speelgoed om de kat te laten rennen. Ik gebruik dat ding niet dagelijks maar als ik hem gebruik dan heeft de kat ook wel weer even wat beweging gehad. :D

Natuurlijk kijk ik uit voor haar oogjes en als ik klaar ben gooi ik vaak een balletje ofzo zodat ze echt iets heeft.
Die heb ik ook! Maar meneer vind dat niet boeiend omdat als ie lang genoeg stil zit hij toch wel naar hem toekomt. :P
Amazaterdag 7 oktober 2017 @ 15:05
Mijn kat heeft op dit moment een schimmelinfectie aan haar oor. :') Pff. Verder was ze wel gezond, ze weegt 3,2 kilo.
valentijn101zaterdag 7 oktober 2017 @ 15:49
Laserpen vinden die van mij ook leuk. Verder propjes papier en bellen blazen vinden ze ook prachtig.

Edit: ik blaas de bellen zij vangen ze.
Sorellazaterdag 7 oktober 2017 @ 16:59
http://www.zooplus.nl/sho(...)lhengels_veer/135843
Deze is al jaren favoriet bij mijn katten.
http://www.zooplus.nl/sho(...)lhengels_veer/407689
En met deze willen ze ook graag spelen

Bellenblaas ga ik eens proberen :)
Angelfroukzaterdag 7 oktober 2017 @ 18:09
quote:
0s.gif Op zaterdag 7 oktober 2017 16:59 schreef Sorella het volgende:
http://www.zooplus.nl/sho(...)lhengels_veer/135843
Deze is al jaren favoriet bij mijn katten.
http://www.zooplus.nl/sho(...)lhengels_veer/407689
En met deze willen ze ook graag spelen

Bellenblaas ga ik eens proberen :)
Van die eerste hebben onze katten het touwtje in tig stukjes geknaagd. Die tweede zijn ze gek van. Dat hebben ze in 4 maanden al 7 van versleten.
Verder zijn ze gek met hun speelmuizen. Bij zooplus in een voordeel verpakking. 10 stuks voor een euro of 2.
Sorellazaterdag 7 oktober 2017 @ 18:13
quote:
1s.gif Op zaterdag 7 oktober 2017 18:09 schreef Angelfrouk het volgende:

[..]

Van die eerste hebben onze katten het touwtje in tig stukjes geknaagd.
Verder zijn ze gek met hun speelmuizen. Bij zooplus in een voordeel verpakking. 10 stuks voor een euro of 2.
Touwtjes zijn hier nooit stuk geknaagd maar bij de vorige versie gingen ze er regelmatig met de veren vandoor, gelukkig zitten die nu veel beter vast :)
summer2birdzaterdag 7 oktober 2017 @ 18:16
Ik heb 3 hengeltjes weer besteld bij mijn zak voer.
Een met zo'n soundmouse, dat is ollies favoriet en die oude raakt op.
Een met veer en een met luipaardprint.

Om bij de grote collectie te stoppen :')

Hij heeft een grote doos vol speelgoed :') en dan nog spelen met een blaadje of een wc rolletje
valentijn101zaterdag 7 oktober 2017 @ 18:17
Hengels trappen die van mij niet in.

eJOjn3sCehM
Cue_zaterdag 7 oktober 2017 @ 18:20
Enige wat ze beetje leuk vinden hier zijn schoenveters en een klein muisje. Totaal geen speelkatten :')
DaMookzaterdag 7 oktober 2017 @ 23:24
Hengels doen het hier nog wel redelijk, maar van die kleine muisjes met catnip ook. Eigenlijk alles met catnip, tot dat spul niet meer werkt.
Goddelijkerzaterdag 7 oktober 2017 @ 23:39
quote:
99s.gif Op zaterdag 7 oktober 2017 23:24 schreef DaMook het volgende:
Hengels doen het hier nog wel redelijk, maar van die kleine muisjes met catnip ook. Eigenlijk alles met catnip, tot dat spul niet meer werkt.
1 van onze 2 katten reageert er op, de andere interesseert het niet.
_florezondag 8 oktober 2017 @ 00:28
Die van mij moet zn brokjes zelf vangen, die gooi ik een voor een door de kamer totdat ie er genoeg van heeft om erachteraan te racen. Speeltjes vindt ie niks aan en hij is op het moment te dik dus dan doen we het maar op deze manier :P
DaMookzondag 8 oktober 2017 @ 01:48
quote:
0s.gif Op zondag 8 oktober 2017 00:28 schreef _flore het volgende:
Die van mij moet zn brokjes zelf vangen, die gooi ik een voor een door de kamer totdat ie er genoeg van heeft om erachteraan te racen. Speeltjes vindt ie niks aan en hij is op het moment te dik dus dan doen we het maar op deze manier :P
Die van mij zijn denk ik ook te dik, maar ach ik leef zelf ook ongezond, dus hebben ze altijd eten :P .
Ewelinazondag 8 oktober 2017 @ 10:13
quote:
0s.gif Op zondag 8 oktober 2017 00:28 schreef _flore het volgende:
Die van mij moet zn brokjes zelf vangen, die gooi ik een voor een door de kamer totdat ie er genoeg van heeft om erachteraan te racen. Speeltjes vindt ie niks aan en hij is op het moment te dik dus dan doen we het maar op deze manier :P
Dat lijkt mij wel een goede om mijn (te) dikke kat Mini wat meer te laten bewegen !
De enige keer dat mevrouw wat actiever beweegt is als ik de stofzuiger tevoorschijn haal...
Ewelinazondag 8 oktober 2017 @ 10:15
quote:
1s.gif Op zaterdag 7 oktober 2017 23:39 schreef Goddelijker het volgende:

[..]

1 van onze 2 katten reageert er op, de andere interesseert het niet.
Hier precies hetzelfde. 1 poes vindt het allemaal geweldig, die kickt echt op catnip, en de andere poes totaal niet.
HaverMoutKoekjezondag 8 oktober 2017 @ 10:21
quote:
1s.gif Op zaterdag 7 oktober 2017 23:39 schreef Goddelijker het volgende:

[..]

1 van onze 2 katten reageert er op, de andere interesseert het niet.
er zijn catnip-katten en valeriaan-katten
Goddelijkerzondag 8 oktober 2017 @ 14:51
quote:
1s.gif Op zondag 8 oktober 2017 10:21 schreef HaverMoutKoekje het volgende:

[..]

er zijn catnip-katten en valeriaan-katten
En katten waarbij het beide niks doet... zoals hier.
Amazondag 8 oktober 2017 @ 14:52
Nieuwsgierigheidsvraag. Welk merk voeren jullie je katten? Brokken en natvoer.
Goddelijkerzondag 8 oktober 2017 @ 14:55
quote:
2s.gif Op zondag 8 oktober 2017 14:52 schreef Amarantha het volgende:
Nieuwsgierigheidsvraag. Welk merk voeren jullie je katten? Brokken en natvoer.
Voornamelijk:
Brokken: Applaws (soms gemixt met andere merken, zodat niet altijd 1 smaak)
Natvoer: Almo Nature ‘s avonds, Felix ‘s morgens
summer2birdzondag 8 oktober 2017 @ 15:11
quote:
2s.gif Op zondag 8 oktober 2017 14:52 schreef Amarantha het volgende:
Nieuwsgierigheidsvraag. Welk merk voeren jullie je katten? Brokken en natvoer.
Alleen brokken. Applaws.
fluitbekzeenaald2.0zondag 8 oktober 2017 @ 15:22
Hoezo brokken en natvoer? Hoezo merken?
Lienekienzondag 8 oktober 2017 @ 15:48
quote:
2s.gif Op zondag 8 oktober 2017 14:52 schreef Amarantha het volgende:
Nieuwsgierigheidsvraag. Welk merk voeren jullie je katten? Brokken en natvoer.
Carocroc en Felix of een soortgelijk merk.
Cue_zondag 8 oktober 2017 @ 15:56
Brokken van uhm de Jumbo. Beetje mix van soorten.
Natvoer van de Aldi (Alexis)
En soms eigeel, Temptations, andere dingen die ik soms krijg van een vriendin die kieskeurige katten heeft.
F_rzondag 8 oktober 2017 @ 16:30
Royal canin enkel brokken natvoer krijgen ze niet.
Sorellazondag 8 oktober 2017 @ 21:05
Sanabelle grande (zodat ze moeten kauwen wat goed is voor de tandjes) en sterilized brokken door elkaar gemengd en s,avonds een zakje/blikje natvoer, geen vast merk van alles door elkaar.
HaverMoutKoekjezondag 8 oktober 2017 @ 21:11
Hoofdbrok is Royal Canin mobility, maar die is mevrouw beetje zat ondanks dat het wonderen gedaan heeft voor de gewrichten. Op advies van onze eigen Fok dierenarts btw
Orijen zijn haar feest brokjes
sylvesterrrzondag 8 oktober 2017 @ 21:24
Alleen brokken. Tot een paar maanden geleden Sanabelle No Grain, tegenwoordig Orijen Cat & Kitten. Ik merk dat Muezza's vacht een stuk mooier is sinddien. :s)
_florezondag 8 oktober 2017 @ 21:56
Hills T/D (mag zn tanden niet meer poetsen :'( ) en carocroc. Half half. Natvoer eigen merk supermarkt want de rest blieft hij niet :')
valentijn101zondag 8 oktober 2017 @ 22:00
quote:
1s.gif Op zondag 8 oktober 2017 21:11 schreef HaverMoutKoekje het volgende:
Hoofdbrok is Royal Canin mobility, maar die is mevrouw beetje zat ondanks dat het wonderen gedaan heeft voor de gewrichten. Op advies van onze eigen Fok dierenarts btw
Orijen zijn haar feest brokjes
Heeft iemand nog eens iets van onze Dida gehoord?
HaverMoutKoekjezondag 8 oktober 2017 @ 22:02
quote:
1s.gif Op zondag 8 oktober 2017 22:00 schreef valentijn101 het volgende:

[..]

Heeft iemand nog eens iets van onze Dida gehoord?
:N
HaverMoutKoekjezondag 8 oktober 2017 @ 22:03
Gaat jullie kattenbeest ook midden in gang of deurpost liggen als je druk bezig bent met klusjes?
Legoblokjezondag 8 oktober 2017 @ 22:23
quote:
18s.gif Op zondag 8 oktober 2017 22:03 schreef HaverMoutKoekje het volgende:
Gaat jullie kattenbeest ook midden in gang of deurpost liggen als je druk bezig bent met klusjes?
:Y
_florezondag 8 oktober 2017 @ 23:05
Natuurlijk :D :P
F_rmaandag 9 oktober 2017 @ 08:15
Die van mij ligt of zit altijd in de weg. Hij neemt boven de hele overloop in de breedte in beslag. Het is hier dus hink stap sprong
sylvesterrrmaandag 9 oktober 2017 @ 08:27
Muezza ligt 's ochtends doodleuk voor de deur: "Waag het niet om naar je werk te gaan zonder mij gespeeld te hebben. }:|"
Cue_maandag 9 oktober 2017 @ 08:31
Mijnes zitten nooit in de weg eigenlijk. Niet echt bewust.
Eentje zit tijdens het koken wel op de vuilnisbak, want dat is hoger, soms irritant, maar verder niet echt lastig.
En ze rennen je soms voor de voeten als ze eten willen hebben. Maarja, dat is ook logisch.

Voor de rest blijven ze vaak uit de buurt als er enge dingen gebeuren ala geluid of spullen slepen ofzo.
Kaatje1maandag 9 oktober 2017 @ 11:59
quote:
18s.gif Op zondag 8 oktober 2017 22:03 schreef HaverMoutKoekje het volgende:
Gaat jullie kattenbeest ook midden in gang of deurpost liggen als je druk bezig bent met klusjes?
De ene wel, die doet ook een stap opzij als ik dat doe _O- .
HaverMoutKoekjemaandag 9 oktober 2017 @ 12:22
quote:
6s.gif Op maandag 9 oktober 2017 08:31 schreef Cue_ het volgende:
Mijnes zitten nooit in de weg eigenlijk. Niet echt bewust.
wat braaf :o
Cue_maandag 9 oktober 2017 @ 12:27
quote:
1s.gif Op maandag 9 oktober 2017 12:22 schreef HaverMoutKoekje het volgende:
wat braaf :o
Ze vinden het niet echt interessant, of anders wel eng.
Zijn opzich best brave beesten. Doen weinig geks of raars ofzo. Ja ze mauwen veel als ze eten willen (vaak :') )
Maarja
LittleBrowniemaandag 9 oktober 2017 @ 12:40
quote:
2s.gif Op zondag 8 oktober 2017 14:52 schreef Amarantha het volgende:
Nieuwsgierigheidsvraag. Welk merk voeren jullie je katten? Brokken en natvoer.
Lidl Premium brokken en Paté van de Kruidvat en Plus. Volgens Google schijnbaar hoog gescoord.
Legoblokjemaandag 9 oktober 2017 @ 13:54
quote:
6s.gif Op maandag 9 oktober 2017 12:27 schreef Cue_ het volgende:

[..]

Ja ze mauwen veel als ze eten willen (vaak :') )
Herkenbaar.. :P
sylvesterrrwoensdag 11 oktober 2017 @ 20:15
Ik heb het idee dat ze al redelijk is hersteld. :') Je zou bijna niet denken dat ze een week of vijf geleden aan haar knie is geopereerd...

https://s.skewl.net/u3fjt
#ANONIEMwoensdag 11 oktober 2017 @ 21:22
Update vanaf pagina 6; bitch was schijnzwanger :'). DA geweest, niets aan de hand verder.
summer2birdwoensdag 11 oktober 2017 @ 21:32
quote:
0s.gif Op woensdag 11 oktober 2017 21:22 schreef Myrr het volgende:
Update vanaf pagina 6; bitch was schijnzwanger :'). DA geweest, niets aan de hand verder.
Jammer, je had je er zo druk mee gemaakt.

Lost dat zich vanzelf op?
valentijn101vrijdag 13 oktober 2017 @ 19:55
Wat ik me net afvroeg. In Nederland worden nu jodiumtabletten uitgedeeld ivm met een kernramp en zo. Maar wat te doen met huisdieren. Hebben die het ook nodig? En in welke dosis? Of zijn ze gevaarlijk voor huisdieren? (ik wil onze Dida terug)
Sorellavrijdag 13 oktober 2017 @ 20:10
Jodium tabletten ? heb ik iets gemist ?
DaMookvrijdag 13 oktober 2017 @ 20:56
quote:
0s.gif Op vrijdag 13 oktober 2017 20:10 schreef Sorella het volgende:
Jodium tabletten ? heb ik iets gemist ?
https://www.ed.nl/politie(...)-in-de-bus~a6aa1349/
Charlie_Brownvrijdag 13 oktober 2017 @ 21:15
quote:
1s.gif Op vrijdag 13 oktober 2017 19:55 schreef valentijn101 het volgende:
Wat ik me net afvroeg. In Nederland worden nu jodiumtabletten uitgedeeld ivm met een kernramp en zo. Maar wat te doen met huisdieren. Hebben die het ook nodig? En in welke dosis? Of zijn ze gevaarlijk voor huisdieren? (ik wil onze Dida terug)
Denk niet dat onze huisdieren lang genoeg leven om last te krijgen van de straling.
De mensen die de tabletten krijgen zijn allemaal jonger dan 20 als je binnen 100 km van een centrale woont en onder de 40 als je binnen 20 km van de centrale woont.
De gemiddelde leeftijd voor het ontwikkelen van schildklier kanker is boven de 30. De meeste huisdieren halen dat niet.
Lienekienvrijdag 13 oktober 2017 @ 22:36
quote:
1s.gif Op vrijdag 13 oktober 2017 21:15 schreef Charlie_Brown het volgende:

[..]

Denk niet dat onze huisdieren lang genoeg leven om last te krijgen van de straling.
De mensen die de tabletten krijgen zijn allemaal jonger dan 20 als je binnen 100 km van een centrale woont en onder de 40 als je binnen 20 km van de centrale woont.
De gemiddelde leeftijd voor het ontwikkelen van schildklier kanker is boven de 30. De meeste huisdieren halen dat niet.
Je redenatie rammelt nogal. Je kunt een mensenleven natuurlijk niet op die manier vergelijken met een dierenleven. Zo beredeneerd zou elke vorm van kanker nogal onwaarschijnlijk moeten zijn bij dieren en dat is niet zo.

Relevanter is het hoe snel schildklierkanker zich kan ontwikkelen na een kernramp, want daar is dat hele jodiumverhaal op gebaseerd, en dat is volgens mij vrij snel (binnen een jaar of twee jaar). Lijkt me dat dieren dat risico ook lopen.
valentijn101donderdag 19 oktober 2017 @ 15:15
quote:
1s.gif Op vrijdag 13 oktober 2017 19:55 schreef valentijn101 het volgende:
Wat ik me net afvroeg. In Nederland worden nu jodiumtabletten uitgedeeld ivm met een kernramp en zo. Maar wat te doen met huisdieren. Hebben die het ook nodig? En in welke dosis? Of zijn ze gevaarlijk voor huisdieren? (ik wil onze Dida terug)
Ik heb het eens nagevraagd bij mijn eigen DA. Ze verwijzen me naar deze website (https://www.knmvd.nl/actu(...)ook-voor-hond-en-kat ) over de dosering weten ze niets te zeggen. Maar ik denk dat een baby en een kat ongeveer evenveel wegen dus dan lijkt me een kwart tablet oke.
Candaasjedonderdag 19 oktober 2017 @ 15:31
quote:
1s.gif Op donderdag 19 oktober 2017 15:15 schreef valentijn101 het volgende:

[..]

Ik heb het eens nagevraagd bij mijn eigen DA. Ze verwijzen me naar deze website (https://www.knmvd.nl/actu(...)ook-voor-hond-en-kat ) over de dosering weten ze niets te zeggen. Maar ik denk dat een baby en een kat ongeveer evenveel wegen dus dan lijkt me een kwart tablet oke.
Ho wacht stop ho, niet zomaar enkel van gewichten uitgaan. Een konijn kan ook net zoveel wegen als een kat (of zelfs een kleine hond) maar doseringen zijn bij veel medicijnen echt anders per diersoort.
Cat-astrophedonderdag 19 oktober 2017 @ 16:25
quote:
0s.gif Op donderdag 19 oktober 2017 15:31 schreef Candaasje het volgende:

[..]

Ho wacht stop ho, niet zomaar enkel van gewichten uitgaan. Een konijn kan ook net zoveel wegen als een kat (of zelfs een kleine hond) maar doseringen zijn bij veel medicijnen echt anders per diersoort.
Dat! Stofwisseling is anders ook.
Denk aan vlooienmiddel voor honden waar katten dood aan gaan. Paracetamol. Chocolade.
valentijn101donderdag 19 oktober 2017 @ 16:59
quote:
0s.gif Op donderdag 19 oktober 2017 15:31 schreef Candaasje het volgende:

[..]

Ho wacht stop ho, niet zomaar enkel van gewichten uitgaan. Een konijn kan ook net zoveel wegen als een kat (of zelfs een kleine hond) maar doseringen zijn bij veel medicijnen echt anders per diersoort.
quote:
1s.gif Op donderdag 19 oktober 2017 16:25 schreef Cat-astrophe het volgende:

[..]

Dat! Stofwisseling is anders ook.
Denk aan vlooienmiddel voor honden waar katten dood aan gaan. Paracetamol. Chocolade.
Maar die dingen zijn giftig voor honden/ katten.
Volgens de DA zou jodium wel bescherming bieden er is alleen geen richtlijn voor dosering.
De tabletten zouden de schildklier moeten verzadigen zodat ze geen radioactief jodium meer opnemen.
Ik denk dat de schildkleir van een kat ongeveer even groot is als die van een baby. Dus vandaar dat ik op een kwart gok. (een paard zou dus meer nodig hebben)
Candaasjedonderdag 19 oktober 2017 @ 18:37
quote:
1s.gif Op donderdag 19 oktober 2017 16:59 schreef valentijn101 het volgende:

[..]

[..]

Maar die dingen zijn giftig voor honden/ katten.
Volgens de DA zou jodium wel bescherming bieden er is alleen geen richtlijn voor dosering.
De tabletten zouden de schildklier moeten verzadigen zodat ze geen radioactief jodium meer opnemen.
Ik denk dat de schildkleir van een kat ongeveer even groot is als die van een baby. Dus vandaar dat ik op een kwart gok. (een paard zou dus meer nodig hebben)
Ook binnen hetzelfde geneesmiddel kunnen er andere doseringen nodig zijn als je kijkt naar verschillende diersoorten. :) Dat klinkt een beetje vreemd, maar heeft alles te maken met snelheid van opname en werkzaamheid. Een konijn mag bijvoorbeeld per kg lichaamsgewicht meer van de pijnstilller meloxicam dan een struisvogel. Dat zou je niet verwachten.

Het zou best kunnen kloppen dat een kwart jodiumtablet een prima dosering is, maar ik zou het toch even overleggen met je dierenarts, indien het zover komt. (Die kan misschien kijken naar andere jodiumtherapieën voor dieren en de doseringen daarvan, en de hoeveelheid werkzame stoffen dan weer vergelijken.)
Cat-astrophedonderdag 19 oktober 2017 @ 19:01
quote:
1s.gif Op donderdag 19 oktober 2017 16:59 schreef valentijn101 het volgende:

[..]


[..]

Maar die dingen zijn giftig voor honden/ katten.
Volgens de DA zou jodium wel bescherming bieden er is alleen geen richtlijn voor dosering.
De tabletten zouden de schildklier moeten verzadigen zodat ze geen radioactief jodium meer opnemen.
Ik denk dat de schildkleir van een kat ongeveer even groot is als die van een baby. Dus vandaar dat ik op een kwart gok. (een paard zou dus meer nodig hebben)
Ik woon ook in de jodiumtablettenbuurt maar als er een kerncentrale ploft zou ik het risico niet nemen om vanuit vooronderstellingen mijn kat te gaan doseren.
valentijn101donderdag 19 oktober 2017 @ 21:56
Ik moet ze eerst nog eens zien te krijgen.
Ik woon in belgie. Volgens de nederlandse kaarten woon ik in een gebied met dreiging van 2 centrales. Volgens belgie is er niets aan de hand :') Bij een belgische apotheek kan ik ze dus niet kopen, ook niet als ik zeg in een risicogebied te werken :? En in nederland zijn ze niet aan te slepen dus daar kan ik ze voorlopig ook nog niet kopen ^O^
hierissieweervrijdag 20 oktober 2017 @ 00:14
Ik heb een enorm rare kat en hoop dat jullie het een en ander kunnen duiden. Kitty is een cremekleurige maincoon kater. Is tot 13 weken bij zijn moeder geweest. Leeft als binnen jaar bij ons. In de ochtend ligt hij bij ons voor de slaapkamer deur. Als het te lang duurt voordat we wakker zijn gaat hij mauwen. Zodra wij de slaapkamer uitkomen rent hij weg en zien we hem eigenlijk niet meer. Alleen als we aan het bureau zitten komt hij er naast liggen (=een andere kamer)
Bij het avond eten krijgt hij natvoer, dan vraagt hij om aandacht door bij ons aan tafel te gaan zitten en ons aan te kijken. De avond zit hij op zijn ton(een krabpaal met ligplek bovenop) of hij zit naast de tv naar ons te kijken. Knuffelen wilt hij niet geen kopjes, geen nabijheid. Als we hem pakken wilt hij vluchten na een minuut. (Aanvankelijk wel wat spinnen) Spelen is hij ook niet zo van. Alleen af en toe met een draadje of veter.
Het gekke is dat als wij terug komen van vakantie of een weekend weg, dan komt hij regel matig kopjes geven, spinnen en bij je staan. Tegen je aan op de bank liggen. Deze aanhankelijkheid duurt hooguit 2 dagen en dan gaan we weer op een soort negeerstand...
Hoe moeten we dit duiden?
Lot_1vrijdag 20 oktober 2017 @ 00:59
Mijn kat is ook niet zo knuffelig, maar wordt het steeds meer. Ik herken erg het wel in de buurt willen zijn maar geen aanraking willen. Volgens mij geen ongewoon gedrag, al kan je kat wat aanhankelijke worden als je het vertrouwen geeft dat je hem niet tegen zijn zin oppakt/aait (mijn kat haalt dan uit of gaat blazen). Dus vooral uitnodigen naar je toe te komen en niet meer oppakken. Dan komt het vanzelf, al kan het lang duren. Het heeft bij ons vier jaar geduurd voordat ze uit zichzelf op schoot ging liggen.

Is het zo dat jullie 's avonds vooral stil zitten in vergelijking met overdag? Mijn kat vind mensen vooral leuk als ze weinig bewegen. Overdag lopen we meer rond dus dan is ze ook vaak in een andere kamer.
Magicawoensdag 1 november 2017 @ 14:42
Mijn allemansvriend liefste kat ooit moest net bijna kotsen maar lukte niet, weet je wel zo hijgen...
Ik wilde hem onder zijn kinnetje aaien begon ie ineens te blazen naar me! Nog nooit dat beestje zien blazen. Ook naar de andere kat, heeft ie ook nog nooit gedaan ondanks dat ze constant ruzie maken.

Hij zat ook te grommen net, doet ie ook nooit. Weet zeker dat ie pijn had. Maar nu ligt ie weer rustig en laat zich ook weer aaien. Ik kijk het nog even aan denk ik, Misschien dat iemand iets herkent ofzo, of advies heeft...
Cat-astrophewoensdag 1 november 2017 @ 14:57
Even afwachten. Misschien had hij buikkramp en wilde gewoon niet lastig gevallen worden.
Lienekienwoensdag 1 november 2017 @ 15:01
Lastig. Katten laten zo weinig merken als ze pijn hebben. Dit kan idd een reactie zijn geweest van ‘laat me met rust’. Goed in de gaten blijven houden.

Ik zoek nog even een linkje. https://www.praktijkvoorkattengedrag.nl/hoe-herken-pijn-katten/ Misschien heb je hier nog iets aan?
Magicawoensdag 1 november 2017 @ 15:05
quote:
0s.gif Op woensdag 1 november 2017 14:57 schreef Cat-astrophe het volgende:
Even afwachten. Misschien had hij buikkramp en wilde gewoon niet lastig gevallen worden.
quote:
1s.gif Op woensdag 1 november 2017 15:01 schreef Lienekien het volgende:
Lastig. Katten laten zo weinig merken als ze pijn hebben. Dit kan idd een reactie zijn geweest van ‘laat me met rust’. Goed in de gaten blijven houden.

Ik zoek nog even een linkje. https://www.praktijkvoorkattengedrag.nl/hoe-herken-pijn-katten/ Misschien heb je hier nog iets aan?
Tnx, ja dat had ik ook al gevonden Lienekien :D
Ik kijk het even aan, ik denk dat ie tijdelijk erge buikpijn had, maar ik hou het in de gaten ^O^
Magicawoensdag 1 november 2017 @ 22:27
Denk dat ie toch tijdelijk buikpijn had. Hij lijkt weer helemaal de oude. Bedankt nog voor de snelle reacties O+
WoordenShuffelaarzaterdag 4 november 2017 @ 14:38
Ik heb het onderstaand topic aangemaakt alvorens ik dit topic zag.

F&F / Kat krabt eetstoornis en bank aan gorten.
Angelfroukdonderdag 9 november 2017 @ 08:54
Vraag. Wij hebben twee zusjes van 8 maanden oud. Beide komen niet buiten.
De ene verdrinkt haar muisjes en andere speeltjes in de drinkbak, dit gedrag kan ik verklaren. Maar het gedrag van de andere niet.

Zij vreet, wanneer wij er niet zijn, de handdoeken, theedoeken en aanrechtdoekjes aan flarden. Ze haalt ze zelfs van de haakjes en van het aanrecht om erop te kauwen.
Ik heb al een paar keer haar bekje gecontroleerd en alle tandjes en kiesjes zijn gewisseld en doorgekomen.
Wanneer ik de doeken weghaal begint mw vrolijk aan de gordijnen. Het gaat dus puur om stof lijkt me.

Heeft iemand enig idee waarom ze dit zou doen en hoe dit tegen te gaan?
Lienekiendonderdag 9 november 2017 @ 09:04
quote:
0s.gif Op donderdag 9 november 2017 08:54 schreef Angelfrouk het volgende:
Vraag. Wij hebben twee zusjes van 8 maanden oud. Beide komen niet buiten.
De ene verdrinkt haar muisjes en andere speeltjes in de drinkbak, dit gedrag kan ik verklaren. Maar het gedrag van de andere niet.

Zij vreet, wanneer wij er niet zijn, de handdoeken, theedoeken en aanrechtdoekjes aan flarden. Ze haalt ze zelfs van de haakjes en van het aanrecht om erop te kauwen.
Ik heb al een paar keer haar bekje gecontroleerd en alle tandjes en kiesjes zijn gewisseld en doorgekomen.
Wanneer ik de doeken weghaal begint mw vrolijk aan de gordijnen. Het gaat dus puur om stof lijkt me.

Heeft iemand enig idee waarom ze dit zou doen en hoe dit tegen te gaan?
Ik vind dit wel informatief: http://www.catbehaviorassociates.com/pica/
Angelfroukdonderdag 9 november 2017 @ 09:11
quote:
1s.gif Op donderdag 9 november 2017 09:04 schreef Lienekien het volgende:

[..]

Ik vind dit wel informatief: http://www.catbehaviorassociates.com/pica/
Ga ik vanavond even lezen. Dank je.
Bij een snelle scan van het artikel zag ik oriëntaalse rassen staan. Het zijn heilige birmanen, misschien is dat één van de redenen.
hierissieweerzondag 12 november 2017 @ 19:15
Even een kattenbak vraagje:
Voor mijn maincoon, in het nieuwe huis, zoek ik een nieuwe kattenbak. Ik heb nu een catit, die ik zonder het luikje heb staan in de Cv kast (met kattenluik en afzuiging)
In het nieuwe huis komt hij in het washok te staan. Daar zijn zijn poepluchtjes niet echt welkom.
Dus op zoek naar een goede stankproof kattenbak. Ik dacht misschien aan die van Curver, ook ivm het schoonmaak gemak. Maar weet echt niet of dat wat is?
Ben benieuwd naar jullie ervaringen.
Sorellazondag 12 november 2017 @ 19:41
Mijn ervaring is dat elke kattenbak stinkt, van de dood ordinaire kattenbak tot de robot kattenbak stinken blijft het.
hierissieweerzondag 12 november 2017 @ 20:01
https://www.zoo-enzo.nl/k(...)Jc35uloaAo5oEALw_wcB

Zoiets maakt het schoonmaken wel makkelijker?
valentijn101zondag 12 november 2017 @ 21:05
De vulling doet meer voor de geur dan de bak. Ik zweer bij silicakorrels. (of nog beter, een kattenluik en een bos naast de deur ;) )
vroniemaandag 13 november 2017 @ 00:26
quote:
0s.gif Op zondag 12 november 2017 19:15 schreef hierissieweer het volgende:
Even een kattenbak vraagje:
Voor mijn maincoon, in het nieuwe huis, zoek ik een nieuwe kattenbak. Ik heb nu een catit, die ik zonder het luikje heb staan in de Cv kast (met kattenluik en afzuiging)
In het nieuwe huis komt hij in het washok te staan. Daar zijn zijn poepluchtjes niet echt welkom.
Dus op zoek naar een goede stankproof kattenbak. Ik dacht misschien aan die van Curver, ook ivm het schoonmaak gemak. Maar weet echt niet of dat wat is?
Ben benieuwd naar jullie ervaringen.
Ik denk dat de poeplucht in het washok wel mee zal vallen en anders de bak om de dag verschonen en tussendoor de drollen verwijderen.
Rauw.maandag 13 november 2017 @ 08:44
Waarom reageert mijn kat zo heftig als ik nies?

Iedere keer als ik nies geeft mijn kat een (snel) miauwtje terug.
Terwijl als hij normaal schrikt geen geluid maakt.
Vinniieemaandag 13 november 2017 @ 08:58
quote:
10s.gif Op maandag 13 november 2017 08:44 schreef Rauw. het volgende:
Waarom reageert mijn kat zo heftig als ik nies?

Iedere keer als ik nies geeft mijn kat een (snel) miauwtje terug.
Terwijl als hij normaal schrikt geen geluid maakt.
Hij zegt "gezondheid". Enige verklaring.
valentijn101maandag 13 november 2017 @ 12:12
quote:
10s.gif Op maandag 13 november 2017 08:44 schreef Rauw. het volgende:
Waarom reageert mijn kat zo heftig als ik nies?

Iedere keer als ik nies geeft mijn kat een (snel) miauwtje terug.
Terwijl als hij normaal schrikt geen geluid maakt.
Omdat kat denk ik.
Als mijn man niest (of zelfs dreigt te niezen) dan vluchten onze katten weg. Als ik het doe maakt het ze totaal niet uit O+ .
En een van de drie kan er niet tegen als iemand zijn neus ophaalt of smekt. Eerste keer een kort smekken/ kirrend geluid terug, tweede keer een miauwtje en als je dan nog door gaat krijg je een heel verhaal te horen _O- erg onhandig als je een loopneus hebt. :')
Rauw.maandag 13 november 2017 @ 12:21
quote:
1s.gif Op maandag 13 november 2017 12:12 schreef valentijn101 het volgende:

[..]

Omdat kat denk ik.
Als mijn man niest (of zelfs dreigt te niezen) dan vluchten onze katten weg. Als ik het doe maakt het ze totaal niet uit O+ .
En een van de drie kan er niet tegen als iemand zijn neus ophaalt of smekt. Eerste keer een kort smekken/ kirrend geluid terug, tweede keer een miauwtje en als je dan nog door gaat krijg je een heel verhaal te horen _O- erg onhandig als je een loopneus hebt. :')
Precies dit is bij mij thuis dus ook het geval.
Als mijn vriendin niest of proest is er niets aan de hand. Maar als ik nies of proest doet de kat zo'n zelfde geluid alsof hij een vogel of zonnestraal ziet (Smekken/Kirren zoals jij dat omschrijft vermoed ik) en als ik vaker proest of nies komt er een mauw. _O-

Grappig dat bij jullie thuis precies hetzelfde gebeurt met meerdere katten :')

Ik durf het haast niet te zeggen omdat het misschien iets pretentieus broek-aan klinkt.
Maar is het misschien iets hiërarchisch?
valentijn101maandag 13 november 2017 @ 12:38
quote:
10s.gif Op maandag 13 november 2017 12:21 schreef Rauw. het volgende:

[..]

Precies dit is bij mij thuis dus ook het geval.
Als mijn vriendin niest of proest is er niets aan de hand. Maar als ik nies of proest doet de kat zo'n zelfde geluid alsof hij een vogel of zonnestraal ziet (Smekken/Kirren zoals jij dat omschrijft vermoed ik) en als ik vaker proest of nies komt er een mauw. _O-

Grappig dat bij jullie thuis precies hetzelfde gebeurt met meerdere katten :')

Ik durf het haast niet te zeggen omdat het misschien iets pretentieus broek-aan klinkt.
Maar is het misschien iets hiërarchisch?
Ik heb meer het idee dat ze snotteren smerig en onbeleefd vind.
Rauw.maandag 13 november 2017 @ 12:55
Zal wel verklaren waarom hij mij altijd aankijkt alsof ik z'n voorvaderen beledigt heb.
valentijn101maandag 13 november 2017 @ 14:36
savannah-cat-kittens-for-sale-wallpaper-4.jpg. Zo ongeveer? Hahaha
Rolstoelvandaalmaandag 13 november 2017 @ 18:51
Mijn kater trekt een vergelijkbaar gezicht als ik hem een stukje kaas laat ruiken.

Dat mekkeren en miauwen als ik vaker nies gebeurd hier ook. Hij kijkt er niet eens bij op als hij ligt te slapen. Alleen even klagen omdat ik nies. Als ik dan sorry zeg volgt er nog een miauw, alsof ie zegt, 't is al goed en hij slaapt verder haha.
valentijn101maandag 13 november 2017 @ 19:20
Kaas zijn die van mij gek op.
Rolstoelvandaalmaandag 13 november 2017 @ 19:25
Ik kan hem enkel verleiden met een stuk kip of zalm. In al het andere eten heeft hij helemaal geen interesse.
valentijn101maandag 13 november 2017 @ 19:46
Tom heeft momenteel een boterham tik. Waar hij eerder gewoon gezellig op schoot zat als ik op de bank een bammetje at en geen interesse in het eten had is dat nu omgeslagen naar; een kat die gezellig op schoot zit, je diep in je ogen aankijkt met van die grote verliefde ogen en dan gewoon een hapje van de andere kant van je boterham neemt. (beetje lady en de vagebond idee :') ) lastig om dan boos te worden. Meneer zit nu dus niet meer op schoot als ik een bammetje eet.
Crientjmaandag 13 november 2017 @ 21:20
quote:
10s.gif Op maandag 13 november 2017 08:44 schreef Rauw. het volgende:
Waarom reageert mijn kat zo heftig als ik nies?

Iedere keer als ik nies geeft mijn kat een (snel) miauwtje terug.
Terwijl als hij normaal schrikt geen geluid maakt.
Hehe, een van mijn drie monsters miauwt ook altijd eventjes als ik nies. Maar hij doet het niet als mijn vriend niest.
Crientjmaandag 13 november 2017 @ 21:20
quote:
1s.gif Op maandag 13 november 2017 19:46 schreef valentijn101 het volgende:
Tom heeft momenteel een boterham tik. Waar hij eerder gewoon gezellig op schoot zat als ik op de bank een bammetje at en geen interesse in het eten had is dat nu omgeslagen naar; een kat die gezellig op schoot zit, je diep in je ogen aankijkt met van die grote verliefde ogen en dan gewoon een hapje van de andere kant van je boterham neemt. (beetje lady en de vagebond idee :') ) lastig om dan boos te worden. Meneer zit nu dus niet meer op schoot als ik een bammetje eet.
😂😂😂.
fluitbekzeenaald2.0maandag 13 november 2017 @ 21:32
quote:
1s.gif Op maandag 13 november 2017 19:46 schreef valentijn101 het volgende:
Tom heeft momenteel een boterham tik. Waar hij eerder gewoon gezellig op schoot zat als ik op de bank een bammetje at en geen interesse in het eten had is dat nu omgeslagen naar; een kat die gezellig op schoot zit, je diep in je ogen aankijkt met van die grote verliefde ogen en dan gewoon een hapje van de andere kant van je boterham neemt. (beetje lady en de vagebond idee :') ) lastig om dan boos te worden. Meneer zit nu dus niet meer op schoot als ik een bammetje eet.
Heeft hij voorkeur voor een bepaald beleg?
valentijn101dinsdag 14 november 2017 @ 03:28
quote:
7s.gif Op maandag 13 november 2017 21:32 schreef fluitbekzeenaald2.0 het volgende:

[..]

Heeft hij voorkeur voor een bepaald beleg?
Op dit moment even niet. Volgens mij vindt hij het gewoon gezellig.
Cracker26donderdag 16 november 2017 @ 19:23
Onze kat zit zich regelmatig te krabben en likken/bijten.
Dit kan dus zijn doordat hij misschien vlooien heeft of zo.
We hebben er al een paar keer zo'n anti vlooi vloeistof voor gekocht (met een pipetje wat van dat spul in zijn nek).

Dat werkt een aantal weken en dan begint hij weer meer te krabben/likken/bijten.

Maar het probleem is dat het de laatste dagen wel heel erg is. Hij ligt/zit nog weinig op zijn gemakje en is dus de hele tijd bezig om zich waarschijnlijk van de jeuk te ontdoen.

Om gewoon weer van die "standaard" pipetjes te kopen, vind ik ook niks. Aangezien het telkens terug blijft komen.

Hebben katten van jullie misschien een ander middeltje gehad? Of is het misschien zelfs iets heel anders dan vlooien?
En anders ga ik morgen maar even langs de dierenarts.
fluitbekzeenaald2.0donderdag 16 november 2017 @ 19:40
quote:
1s.gif Op dinsdag 14 november 2017 03:28 schreef valentijn101 het volgende:

[..]

Op dit moment even niet. Volgens mij vindt hij het gewoon gezellig.
:D Wat een grapjas.
Cat-astrophedonderdag 16 november 2017 @ 19:43
quote:
0s.gif Op donderdag 16 november 2017 19:23 schreef Cracker26 het volgende:
Onze kat zit zich regelmatig te krabben en likken/bijten.
Dit kan dus zijn doordat hij misschien vlooien heeft of zo.
We hebben er al een paar keer zo'n anti vlooi vloeistof voor gekocht (met een pipetje wat van dat spul in zijn nek).

Dat werkt een aantal weken en dan begint hij weer meer te krabben/likken/bijten.

Maar het probleem is dat het de laatste dagen wel heel erg is. Hij ligt/zit nog weinig op zijn gemakje en is dus de hele tijd bezig om zich waarschijnlijk van de jeuk te ontdoen.

Om gewoon weer van die "standaard" pipetjes te kopen, vind ik ook niks. Aangezien het telkens terug blijft komen.

Hebben katten van jullie misschien een ander middeltje gehad? Of is het misschien zelfs iets heel anders dan vlooien?
En anders ga ik morgen maar even langs de dierenarts.
Ik zou met poes naar de dierenarts gaan om een allergie uit te sluiten. Want dit klinkt alsof poes er wel heel erg veel last van heeft. Kan zelfs een vlooien allergie zijn. Dan kom je aan het uitwassen en poetsen van de hele omgeving, naast goede vlooienbestrijding.
Vlooienmideltjes van de dierenarts werken trouwens beter dan de dierenwinkelmiddeltjes.
Oledonderdag 16 november 2017 @ 19:43
quote:
0s.gif Op donderdag 16 november 2017 19:23 schreef Cracker26 het volgende:
Onze kat zit zich regelmatig te krabben en likken/bijten.
Dit kan dus zijn doordat hij misschien vlooien heeft of zo.
We hebben er al een paar keer zo'n anti vlooi vloeistof voor gekocht (met een pipetje wat van dat spul in zijn nek).

Dat werkt een aantal weken en dan begint hij weer meer te krabben/likken/bijten.

Maar het probleem is dat het de laatste dagen wel heel erg is. Hij ligt/zit nog weinig op zijn gemakje en is dus de hele tijd bezig om zich waarschijnlijk van de jeuk te ontdoen.

Om gewoon weer van die "standaard" pipetjes te kopen, vind ik ook niks. Aangezien het telkens terug blijft komen.

Hebben katten van jullie misschien een ander middeltje gehad? Of is het misschien zelfs iets heel anders dan vlooien?
En anders ga ik morgen maar even langs de dierenarts.
kan allergie zijn
Dierenarts kan shot geven waardoor hij geen jeuk meer heeft. Denk wel dat dat prednison is. Bel anders even naar dierenarts! Mijn kat bleek gevoelig voor halsbandje waarschijnlijk
Forbrydonderdag 16 november 2017 @ 19:46
Ik weet niet zo goed waar ik het anders neer moet zetten, dus dan maar even hier...

Zijn er mensen die meedoen met Scoupy of dat wel willen?

Op dit moment een gratis zak Purina Pro Plan (adviesprijs 16,95!), zie : https://scoupy.com/nl/#/g(...)5-voor-eur0/49546/co.

Voor honden is er een soortgelijke actie, maar dan moet je nog wel wat bijbetalen, zie: https://scoupy.com/nl/#/g(...)voor-eur750/49547/co.

De actie voor katten staat qua beschikbaarheid al op 'oranje', wat betekent dat wanneer iemand nog met deze actie mee wil doen, diegene mogelijk snel moet zijn...

Ik denk ik meld het even, want voor alle 'baasjes' hier toch wel een mooie actie lijkt me, niet? :)

Edit: nog even voor de volledigheid/duidelijkheid:
quote:
Alleen geldig op PRO PLAN Kat Delicate 1,5 kg, PRO PLAN Kat Sterilised Kalkoen 1,5 kg, PRO PLAN Kat Sterilised Zalm 1,5 kg, PRO PLAN Kat Adult Kip 1,5 kg, PRO PLAN Kat Adult Zalm 1,5 kg, PRO PLAN Kat Housecat 1,5 kg, PRO PLAN Kat Derma Plus 1,5 kg, PRO PLAN Kat Junior 1,5 kg, PRO PLAN Kat Adult 7+ 1,5 kg of PRO PLAN Kat Light 1,5 kg.
En let ook op de winkels waar je het moet kopen (wel redelijk wat keuze)!

[ Bericht 10% gewijzigd door Forbry op 16-11-2017 19:59:03 ]
Cat-astrophedonderdag 16 november 2017 @ 19:54
quote:
0s.gif Op donderdag 16 november 2017 19:46 schreef Forbry het volgende:
Ik weet niet zo goed waar ik het anders neer moet zetten, dus dan maar even hier...

Zijn er mensen die meedoen met Scoupy of dat wel willen?

Op dit moment een gratis zak Purina Pro Plan (adviesprijs 16,95!), zie : https://scoupy.com/nl/#/g(...)5-voor-eur0/49546/co.

Voor honden is er een soortgelijke actie, maar dan moet je nog wel wat bijbetalen, zie: https://scoupy.com/nl/#/g(...)voor-eur750/49547/co.

De actie voor katten staat qua beschikbaarheid al op 'oranje', wat betekent dat wanneer iemand nog met deze actie mee wil doen, diegene mogelijk snel moet zijn...

Ik denk ik meld het even, want voor alle 'baasjes' hier toch wel een mooie actie lijkt me, niet? :)
Goed dat je het zegt! Ik heb het in de plannng staan. Vandaag vergeten :')
Forbrydonderdag 16 november 2017 @ 20:02
quote:
1s.gif Op donderdag 16 november 2017 19:54 schreef Cat-astrophe het volgende:

[..]

Goed dat je het zegt! Ik heb het in de plannng staan. Vandaag vergeten :')
:D :D ^O^
Crientjdonderdag 16 november 2017 @ 21:28
We hebben sinds een paar maanden een kat geadopteerd. Dat ging in het begin niet zo lekker met de middelste kat. Veel blazen en grommen.
Dat verdween, maar sinds een week of twee is het weer bal. Veel achter elkaar aan rennen, opjagen, blazen en grommen. Hierdoor plast de jongste ook af en toe in de wasmand. :X :{

Zou een Feliway stekker kunnen helpen om de middelste kat wat rustiger te krijgen en de jongste nog meer te accepteren? Als ze brokjes krijgen is er namelijk niets aan de hand, dan zitten ze rustig naast elkaar. :')
Candaasjedonderdag 16 november 2017 @ 22:09
quote:
0s.gif Op donderdag 16 november 2017 19:23 schreef Cracker26 het volgende:
Onze kat zit zich regelmatig te krabben en likken/bijten.
Dit kan dus zijn doordat hij misschien vlooien heeft of zo.
We hebben er al een paar keer zo'n anti vlooi vloeistof voor gekocht (met een pipetje wat van dat spul in zijn nek).

Dat werkt een aantal weken en dan begint hij weer meer te krabben/likken/bijten.

Maar het probleem is dat het de laatste dagen wel heel erg is. Hij ligt/zit nog weinig op zijn gemakje en is dus de hele tijd bezig om zich waarschijnlijk van de jeuk te ontdoen.

Om gewoon weer van die "standaard" pipetjes te kopen, vind ik ook niks. Aangezien het telkens terug blijft komen.

Hebben katten van jullie misschien een ander middeltje gehad? Of is het misschien zelfs iets heel anders dan vlooien?
En anders ga ik morgen maar even langs de dierenarts.
Ik weet niet wat voor pipetjes je hebt, maar met uitzondering van bijvoorbeeld Bravecto werken de meeste pipetjes zo'n 3-4 weken. Daarna heb je weer (meer) kans op her- besmetting. En het ene middel is effectiever dan het andere.

Comfortis tabletten zijn wel een heel goede om een heftige vlooienplaag direct te bestrijden. (Let op; de vlooienplaag op de kat welteverstaan. De omgeving moet je zelf nog wel goed zuigen/wassen/evt. sprayen). Deze tabletjes geef je ook 1 keer per maand, en dan het liefst een aantal maanden achter elkaar om ervoor te zorgen dat her- besmetting in de kiem gesmoord wordt. Dit is een middel dat naar mijn weten uitsluitend door dierenartsen verkocht wordt en je moet even de kat wegen; het gewicht komt wat nauwer dan bij pipetjes vaak het geval is.

Vlooienallergie kan erg heftig zijn en één vlooienbeet is genoeg voor symptomen. Meestal zijn er dan ook korstjes bij de staartbasis voelbaar, en niet zelden kun je de vlooien in de liezen zien lopen. Als je ene vlooienkammetje hebt en deze door de vacht haalt, zul je bij een vlooienplaag zwarte stipjes tegenkomen. Als je deze op een keukenpapiertje legt en een beetje nat maakt, zullen ze rood afgeven.

Maak je je toch zorgen of helpen comfortistabletten niet, heeft de kat al lelijke wondjes waar ze voortdurend aan blijft krabben/bijten, en/of krabt en bijt de kat voornamelijk aan de poten, dan zou ik sowieso even langs de dierenarts gaan. :)

quote:
0s.gif Op donderdag 16 november 2017 21:28 schreef Crientj het volgende:
We hebben sinds een paar maanden een kat geadopteerd. Dat ging in het begin niet zo lekker met de middelste kat. Veel blazen en grommen.
Dat verdween, maar sinds een week of twee is het weer bal. Veel achter elkaar aan rennen, opjagen, blazen en grommen. Hierdoor plast de jongste ook af en toe in de wasmand. :X :{

Zou een Feliway stekker kunnen helpen om de middelste kat wat rustiger te krijgen en de jongste nog meer te accepteren? Als ze brokjes krijgen is er namelijk niets aan de hand, dan zitten ze rustig naast elkaar. :')
Nooit geschoten is altijd mis... Feliway kán de scherpe randjes eraf halen en daardoor helpen. Het wordt in diverse pensions ook gebruikt. Verwacht er alleen geen wonderen van; het ondersteund, maar is niet een oplossing voor de oorzaak van de onderlinge spanning. Daarvoor zou ik toch even rondneuzen op de sites van gedragsdeskundigen (de faculteit heeft een afdeling kattengedrag, maar er zijn meer websites met tips via google te vinden.)
Cracker26donderdag 16 november 2017 @ 22:26
quote:
1s.gif Op donderdag 16 november 2017 19:43 schreef Cat-astrophe het volgende:

[..]

Ik zou met poes naar de dierenarts gaan om een allergie uit te sluiten. Want dit klinkt alsof poes er wel heel erg veel last van heeft. Kan zelfs een vlooien allergie zijn. Dan kom je aan het uitwassen en poetsen van de hele omgeving, naast goede vlooienbestrijding.
Vlooienmideltjes van de dierenarts werken trouwens beter dan de dierenwinkelmiddeltjes.
Bedankt voor je reactie!
Ik zal morgen weleens eerst weleens naar de dierenarts bellen.
En ik zat er inderdaad al aan te denken om een beter middeltje bij de dierenarts te halen ja.
Cracker26donderdag 16 november 2017 @ 22:27
quote:
1s.gif Op donderdag 16 november 2017 19:43 schreef Ole het volgende:

[..]

kan allergie zijn
Dierenarts kan shot geven waardoor hij geen jeuk meer heeft. Denk wel dat dat prednison is. Bel anders even naar dierenarts! Mijn kat bleek gevoelig voor halsbandje waarschijnlijk
Bedankt voor je reactie! Ga morgen even bellen.
valentijn101donderdag 16 november 2017 @ 22:31
quote:
1s.gif Op donderdag 16 november 2017 22:26 schreef Cracker26 het volgende:

[..]

Bedankt voor je reactie!
Ik zal morgen weleens eerst weleens naar de dierenarts bellen.
En ik zat er inderdaad al aan te denken om een beter middeltje bij de dierenarts te halen ja.
Ik ben erg tevreden over de seresto banden. Dit vooral omdat dit bij ons het enige is dat lang tegen teek werkt.
Cracker26donderdag 16 november 2017 @ 22:50
quote:
0s.gif Op donderdag 16 november 2017 22:09 schreef Candaasje het volgende:

[..]

Ik weet niet wat voor pipetjes je hebt, maar met uitzondering van bijvoorbeeld Bravecto werken de meeste pipetjes zo'n 3-4 weken. Daarna heb je weer (meer) kans op her- besmetting. En het ene middel is effectiever dan het andere.

Comfortis tabletten zijn wel een heel goede om een heftige vlooienplaag direct te bestrijden. (Let op; de vlooienplaag op de kat welteverstaan. De omgeving moet je zelf nog wel goed zuigen/wassen/evt. sprayen). Deze tabletjes geef je ook 1 keer per maand, en dan het liefst een aantal maanden achter elkaar om ervoor te zorgen dat her- besmetting in de kiem gesmoord wordt. Dit is een middel dat naar mijn weten uitsluitend door dierenartsen verkocht wordt en je moet even de kat wegen; het gewicht komt wat nauwer dan bij pipetjes vaak het geval is.

Vlooienallergie kan erg heftig zijn en één vlooienbeet is genoeg voor symptomen. Meestal zijn er dan ook korstjes bij de staartbasis voelbaar, en niet zelden kun je de vlooien in de liezen zien lopen. Als je ene vlooienkammetje hebt en deze door de vacht haalt, zul je bij een vlooienplaag zwarte stipjes tegenkomen. Als je deze op een keukenpapiertje legt en een beetje nat maakt, zullen ze rood afgeven.

Maak je je toch zorgen of helpen comfortistabletten niet, heeft de kat al lelijke wondjes waar ze voortdurend aan blijft krabben/bijten, en/of krabt en bijt de kat voornamelijk aan de poten, dan zou ik sowieso even langs de dierenarts gaan. :)
Ten eerste heel veel b edankt voor deze reactie!

We hadden "Advantage" pipetjes van Bayer. En op de verpakking staat ook inderdaad dat ze 3-4 weken werken.
Maar ik wil dus dat het helemaal over is.

Verder heeft hij (nog) geen wondjes, kale plekken, of andere littekens.

Hij krabt ook soms een tijdje niet als hij even met zijn speelgoedjes gespeeld heeft, of gegeten heeft.. maar komt vast door de afleiding.

Morgen dus ook maar een vlooienkammetje halen en dus naar de dierenarts bellen/gaan.

Hij bijt laatste 2 dagen veel op zijn poten ja.
vronievrijdag 17 november 2017 @ 01:02
quote:
1s.gif Op donderdag 16 november 2017 22:50 schreef Cracker26 het volgende:

[..]

Ten eerste heel veel b edankt voor deze reactie!

We hadden "Advantage" pipetjes van Bayer. En op de verpakking staat ook inderdaad dat ze 3-4 weken werken.
Maar ik wil dus dat het helemaal over is.

Verder heeft hij (nog) geen wondjes, kale plekken, of andere littekens.

Hij krabt ook soms een tijdje niet als hij even met zijn speelgoedjes gespeeld heeft, of gegeten heeft.. maar komt vast door de afleiding.

Morgen dus ook maar een vlooienkammetje halen en dus naar de dierenarts bellen/gaan.

Hij bijt laatste 2 dagen veel op zijn poten ja.
Met Advantage is niks mis mee wordt ook bij de DA verkocht als je morgen in de weer gaat met de vlooienkam .
Hou dan een bakje met zeepsop in de buurt dan kan je de vlo daar in verzuipen.
Cracker26vrijdag 17 november 2017 @ 07:14
quote:
1s.gif Op donderdag 16 november 2017 22:31 schreef valentijn101 het volgende:

[..]

Ik ben erg tevreden over de seresto banden. Dit vooral omdat dit bij ons het enige is dat lang tegen teek werkt.
Bedankt voor de tip!
Cracker26vrijdag 17 november 2017 @ 07:15
quote:
0s.gif Op vrijdag 17 november 2017 01:02 schreef vronie het volgende:

[..]

Met Advantage is niks mis mee wordt ook bij de DA verkocht als je morgen in de weer gaat met de vlooienkam .
Hou dan een bakje met zeepsop in de buurt dan kan je de vlo daar in verzuipen.
Ok,zal ik doen. Ben eigenlijk wel benieuwd of het echt door vlooien is. Maar dat is wel erg waarschijnlijk aan zijn gedrag te zien.
Impectvrijdag 17 november 2017 @ 07:30
Ik heb een vraag over de jaarlijkse controle / inentingen, hoe belangrijk is dit?
Gaat om een poes van 1,5 jaar.
Een jaar geleden heeft ze de benodigde entingen gehad (boekje zo niet bij de hand) en is ze gesteriliseerd en gechipt.

Ontwormen doe ik zelf d.m.v. tabletjes.

Andere vraag;
Weet iemand waarom ze het gedrag hebben om rond het voer- en waterbakje over de vloer te krabben ? :P
Cat-astrophevrijdag 17 november 2017 @ 09:00
quote:
0s.gif Op vrijdag 17 november 2017 07:30 schreef Impect het volgende:
Ik heb een vraag over de jaarlijkse controle / inentingen, hoe belangrijk is dit?
Gaat om een poes van 1,5 jaar.
Een jaar geleden heeft ze de benodigde entingen gehad (boekje zo niet bij de hand) en is ze gesteriliseerd en gechipt.

Ontwormen doe ik zelf d.m.v. tabletjes.

Andere vraag;
Weet iemand waarom ze het gedrag hebben om rond het voer- en waterbakje over de vloer te krabben ? :P
Als ze buiten komt zou ik het jaarlijks bijhouden.
Als het een binnenpoes is, vind ik dat minder noodzakelijk.

Dat krabben is volgens mij het idee dat ze voedsel willen begraven, omdat ze het niet in één keer kunnen opeten.
Candaasjevrijdag 17 november 2017 @ 09:02
quote:
1s.gif Op donderdag 16 november 2017 22:50 schreef Cracker26 het volgende:

[..]

Ten eerste heel veel b edankt voor deze reactie!

We hadden "Advantage" pipetjes van Bayer. En op de verpakking staat ook inderdaad dat ze 3-4 weken werken.
Maar ik wil dus dat het helemaal over is.

Verder heeft hij (nog) geen wondjes, kale plekken, of andere littekens.

Hij krabt ook soms een tijdje niet als hij even met zijn speelgoedjes gespeeld heeft, of gegeten heeft.. maar komt vast door de afleiding.

Morgen dus ook maar een vlooienkammetje halen en dus naar de dierenarts bellen/gaan.

Hij bijt laatste 2 dagen veel op zijn poten ja.
Ah Advantage is prima spul. Je moet het alleen wel blijven herhalen als je een kat hebt die wel in trek is bij de vlooien. (Helaas gaan vlooien in de winter - dankzij de cv's die we hebben - ook niet meer zo massaal dood als vroegâh).

Krabben/bijten aan de poten kan ook een symptoom zijn van (voedsel)allergie. Daarom zou ik toch denk ik even langs gaan bij de dierenarts. Misschien is een iets intensievere vlooienbehandeling al voldoende, maar als het een allergie is kun je natuurlijk pipeteren en stofzuigen tot je een ons weegt...

quote:
0s.gif Op vrijdag 17 november 2017 07:30 schreef Impect het volgende:
Ik heb een vraag over de jaarlijkse controle / inentingen, hoe belangrijk is dit?
Gaat om een poes van 1,5 jaar.
Een jaar geleden heeft ze de benodigde entingen gehad (boekje zo niet bij de hand) en is ze gesteriliseerd en gechipt.

Ontwormen doe ik zelf d.m.v. tabletjes.

Andere vraag;
Weet iemand waarom ze het gedrag hebben om rond het voer- en waterbakje over de vloer te krabben ? :P
Ik zou toch wel aanraden om in elk geval elk jaar even op algemene gezondheidscontrole te gaan. Het is weliswaar een jonge kat, maar katten kunnen niet praten en ze kunnen ontzettend veel problemen heel goed verbloemen. Denk hierbij bijvoorbeeld aan gebitsproblemen; dat is helaas echt een ondergeschoven kindje, maar daardoor vaak de reden dat er op den duur in één keer veel getrokken moet worden.

Wat de vaccinaties betreft; de meningen zijn er wat over verdeeld zullen we maar zeggen :P . Ik ben wel voorstander van vaccineren, want vooral kattenziekte maakt nog elk jaar vele slachtoffers onder niet gevaccineerde katten (ook binnenkatten). Niesziekte is daarnaast ook een smerige rotziekte die al snel chronisch kan worden. Ook niet prettig. (Voor een jonge kat meestal niet direct dodelijk als je de symptomen op tijd gaat bestrijden, maar gevaccineerd verloopt bij besmetting de ziekte vaak een heel stuk minder heftig, en voor oudere/zwakkere katten kan het echt een verschil van leven of dood zijn. En als je kat een keer moet worden opgenomen bij een dierenarts, heb je ook kans dat ze deze vaccinatie verplicht stellen. Immers, die opnames zitten vol met zieke/zwakke dieren. )

Doorgaans wordt de niesziektevaccinatie elk jaar gegeven (Want is ongeveer 1 jaar werkzaam). Kattenziekte wordt meestal om de 2-3 jaar gegeven. Beetje afhankelijk van de praktijk, de infectiedruk in de omgeving, de woonsituatie van de kat, etc. Kan ook elk jaar als de infectiedruk erg hoog is of je erover twijfelt.

Er zijn praktijken die kunnen titreren voor bepaalde vaccinaties; dat is het onderzoek naar het aantal antilichamen. Er kan dan met een behoorlijk hoge zekerheid aangegeven worden hoe lang de vaccinatie nog werkzaam zal zijn. (Er zitten wat haken en ogen aan, want het is dus een momentopname en de meeste testen zeggen niks over de cellulaire afweer. Maar de fabrikanten van deze tests bouwen natuurlijk wel veiligheidsmarges in ;) ) .

Niet alle praktijken doen dit (of deels, of moeten het insturen bij een laboratorium). Het nadeel voor de eigenaar is vaak dat de kosten vrij hoog zijn. (Er moet ook wat bloed afgenomen worden, hoewel er voor katten ook wel tests zijn waarbij een druppel genoeg is.) En je loopt dus de kans dat het aantal anti-lichamen te laag is, waardoor je alsnog moet vaccineren. Kostentechnisch niet altijd even voordelig. Vooral een optie voor diegenen die zelf niet echt fan zijn van (over)vaccineren :) .
senestavrijdag 17 november 2017 @ 09:03
Ik ga van het weekend kijken naar een herplaatser en volgens mij is het niet de bedoeling dat het katje meteen mee gaat. Maar als hij bij ons komt zal het waarschijnlijk einde van deze maand zijn. Hoe lang van tevoren is het handig om bijvoorbeeld een feliway stekker te gaan gebruiken?
Cracker26vrijdag 17 november 2017 @ 09:18
quote:
0s.gif Op vrijdag 17 november 2017 09:02 schreef Candaasje het volgende:

[..]

Ah Advantage is prima spul. Je moet het alleen wel blijven herhalen als je een kat hebt die wel in trek is bij de vlooien. (Helaas gaan vlooien in de winter - dankzij de cv's die we hebben - ook niet meer zo massaal dood als vroegâh).

Krabben/bijten aan de poten kan ook een symptoom zijn van (voedsel)allergie. Daarom zou ik toch denk ik even langs gaan bij de dierenarts. Misschien is een iets intensievere vlooienbehandeling al voldoende, maar als het een allergie is kun je natuurlijk pipeteren en stofzuigen tot je een ons weegt...
Ok, in ieder geval al goed om te horen dat Advantage goed spul is. Zag gisteravond dat we nog 1 pipetje hebben, dus die zullen we er vanmiddag wel even op doen.

En wat betreft die voedselallergie.
We geven hem op het moment nog Whiskas eten van 1+. Hij is nu 8 jaar. Dus ook maar eens om 7+ eten. Ik weet niet of dat verder veel zou moeten uitmaken. Ik verwacht het niet, maar goed. Toch niet voor het krabben en zo..

We kopen ook van alle 3 de soorten altijd voor een beetje afwisseling. Dus kip, rund en tonijn.
Misschien hetgene wat hij nou heeft (ik geloof kip). Misschien die ook maar eens overslaan en kijken of dat ook scheelt.

Maar sowieso vanmiddag eerst ff raad vragen bij de dierenarts.
Impectvrijdag 17 november 2017 @ 10:10
quote:
1s.gif Op vrijdag 17 november 2017 09:00 schreef Cat-astrophe het volgende:

[..]

Als ze buiten komt zou ik het jaarlijks bijhouden.
Als het een binnenpoes is, vind ik dat minder noodzakelijk.

Dat krabben is volgens mij het idee dat ze voedsel willen begraven, omdat ze het niet in één keer kunnen opeten.
Ze blijft altijd binnen, maar wil natuurlijk wel het beste voor het beestje :)

Dat zou goed kunnen, ziet er altijd zo grappig uit, net of ze ff de eetplek schoonmaakt ofzo :P
Impectvrijdag 17 november 2017 @ 10:13
quote:
0s.gif Op vrijdag 17 november 2017 09:02 schreef Candaasje het volgende:

[..]

[..]

Ik zou toch wel aanraden om in elk geval elk jaar even op algemene gezondheidscontrole te gaan. Het is weliswaar een jonge kat, maar katten kunnen niet praten en ze kunnen ontzettend veel problemen heel goed verbloemen. Denk hierbij bijvoorbeeld aan gebitsproblemen; dat is helaas echt een ondergeschoven kindje, maar daardoor vaak de reden dat er op den duur in één keer veel getrokken moet worden.

Wat de vaccinaties betreft; de meningen zijn er wat over verdeeld zullen we maar zeggen :P . Ik ben wel voorstander van vaccineren, want vooral kattenziekte maakt nog elk jaar vele slachtoffers onder niet gevaccineerde katten (ook binnenkatten). Niesziekte is daarnaast ook een smerige rotziekte die al snel chronisch kan worden. Ook niet prettig. (Voor een jonge kat meestal niet direct dodelijk als je de symptomen op tijd gaat bestrijden, maar gevaccineerd verloopt bij besmetting de ziekte vaak een heel stuk minder heftig, en voor oudere/zwakkere katten kan het echt een verschil van leven of dood zijn. En als je kat een keer moet worden opgenomen bij een dierenarts, heb je ook kans dat ze deze vaccinatie verplicht stellen. Immers, die opnames zitten vol met zieke/zwakke dieren. )

Doorgaans wordt de niesziektevaccinatie elk jaar gegeven (Want is ongeveer 1 jaar werkzaam). Kattenziekte wordt meestal om de 2-3 jaar gegeven. Beetje afhankelijk van de praktijk, de infectiedruk in de omgeving, de woonsituatie van de kat, etc. Kan ook elk jaar als de infectiedruk erg hoog is of je erover twijfelt.

Er zijn praktijken die kunnen titreren voor bepaalde vaccinaties; dat is het onderzoek naar het aantal antilichamen. Er kan dan met een behoorlijk hoge zekerheid aangegeven worden hoe lang de vaccinatie nog werkzaam zal zijn. (Er zitten wat haken en ogen aan, want het is dus een momentopname en de meeste testen zeggen niks over de cellulaire afweer. Maar de fabrikanten van deze tests bouwen natuurlijk wel veiligheidsmarges in ;) ) .

Niet alle praktijken doen dit (of deels, of moeten het insturen bij een laboratorium). Het nadeel voor de eigenaar is vaak dat de kosten vrij hoog zijn. (Er moet ook wat bloed afgenomen worden, hoewel er voor katten ook wel tests zijn waarbij een druppel genoeg is.) En je loopt dus de kans dat het aantal anti-lichamen te laag is, waardoor je alsnog moet vaccineren. Kostentechnisch niet altijd even voordelig. Vooral een optie voor diegenen die zelf niet echt fan zijn van (over)vaccineren :) .
Dank voor je reactie :).
Dat de meningen heel erg verdeelt zijn had ik al gelezen op diverse websites.
Vooral die van de dierenartsen vonden het wel nodig om jaarlijks langs te komen, gek hé :P

Bedankt voor de info, ik denk dat ik toch wel even een afspraak ga maken.
Ik zie natuurlijk niet wat zij zien bij de poes.
Lienekienvrijdag 17 november 2017 @ 11:52
We laten onze binnenkat ook enten. De enige reden om het niet te doen zou financieel zijn en dat weegt imo niet op tegen wat je ermee zou kunnen voorkomen.
senestavrijdag 17 november 2017 @ 11:55
Ik heb serieus overwogen om te stoppen met inenten maar rond dat moment kregen we hier een vlaag kattenziekte waarbij ook niet ingeënte jonge binnenkatten dood gingen. Dus ik ben braaf blijven enten :@
valentijn101vrijdag 17 november 2017 @ 12:45
Ik denk dat je het inenten van katten net zo moet zien als bij mensen. Als er genoeg zijn ingeent is het risico op besmetting kleiner. Maar als daardoor veel mensen/ katten gaan stoppen met enten loop je weer meer risico. Je doet het dus niet alleen om je eigen kat gezond te houden maar ook de katten er om heen. Kijk bv naar de biblebelt. Daar komen besmettingen veel meer voor als de rest van nederland.
Candaasjevrijdag 17 november 2017 @ 13:22
Wat Valentijn zegt. :Y Daarbij ook even opmerkend dat er in NL zo weinig katten zijn ingeënt, dat die herdcommunity absoluut niet is wat 'ie zou kunnen/moeten zijn. Woon je in een gebied met een hoger infectierisico (en dat geldt voor de meerderheid van de katteneigenaren), dan is het dus echt raadzaam te laten vaccineren - al dan niet kritisch d.m.v. titreren.

Overigens; vaccineren is voor veel dierenartsen ook een vorm van klantenbinding en dus - naast de gezondheidsvoordelen, dat voorop! - is het wel iets dat ze zullen aanraden ja. Alleen een gezondheidscheck is voor veel mensen te weinig reden om jaarlijks te komen (en dan komt iemand 1x in de 8 jaar als er een keer écht iets goed mis...met alle ellende en kosten van dien). Maar het komt steeds vaker voor dat vaccinatie's met het algemene onderzoek dat daarbij hoort goedkoper zijn dan alleen een consult. Dus als je toch al jaarlijks ging voor een check-up, dan hoef je vaccineren niet altijd te laten vanwege de kosten ;) .
Amavrijdag 17 november 2017 @ 13:43
Ik heb alleen de inentingen laten doen toen ze een kitten was, inmiddels 3 jaar terug. :@ DA heeft er paar weken terug ook niks van gezegd, denk dat ze het hebben opgegeven na heel veel kaartjes sturen.
sylvesterrrvrijdag 17 november 2017 @ 14:44
Mijn katten worden ieder jaar braaf gevaccineerd, ook al komen ze niet buiten. Die paar tientjes per jaar heb ik er wel voor over. Het is ook meteen een goede reden om naar de DA te gaan voor de algemene gezondheidscontrole. ;)

Daarnaast kan je je katten niet achterlaten bij een dierenpension zonder geldige vaccinaties.
Forbryvrijdag 17 november 2017 @ 16:15
Onze poes is een 'semi-buitenkat' (of juist 'semi-binnenkat' zo je wilt; ze kan/mag vrij naar buiten, maar echt veel is ze daar niet te vinden) en wij gaan standaard elk jaar met haar naar de dierenarts voor controle en dan wordt ze ook gevaccineerd.
DaMookvrijdag 17 november 2017 @ 23:48
quote:
2s.gif Op vrijdag 17 november 2017 13:43 schreef Amarantha het volgende:
Ik heb alleen de inentingen laten doen toen ze een kitten was, inmiddels 3 jaar terug. :@ DA heeft er paar weken terug ook niks van gezegd, denk dat ze het hebben opgegeven na heel veel kaartjes sturen.
Mijn 2 binnen katten hebben ook alleen die entingen gehad. Zijn inmiddels 5,5 jaar geleden.
Teslyndzondag 19 november 2017 @ 01:14
quote:
10s.gif Op maandag 13 november 2017 12:21 schreef Rauw. het volgende:

[..]

Precies dit is bij mij thuis dus ook het geval.
Als mijn vriendin niest of proest is er niets aan de hand. Maar als ik nies of proest doet de kat zo'n zelfde geluid alsof hij een vogel of zonnestraal ziet (Smekken/Kirren zoals jij dat omschrijft vermoed ik) en als ik vaker proest of nies komt er een mauw. _O-

Grappig dat bij jullie thuis precies hetzelfde gebeurt met meerdere katten :')

Ik durf het haast niet te zeggen omdat het misschien iets pretentieus broek-aan klinkt.
Maar is het misschien iets hiërarchisch?
Denk ook dat ze vinden dat je je misdraagt. Bij veel mannen heeft een eenvoudige nies iets van een orkaan, die wapperende haren veroorzaakt. Die katten vinden waarschijnlijk dat het wel wat minder kan in huis.
DaMookmaandag 20 november 2017 @ 21:58
Vraagje, mijn 2 katten zijn totaal niet gesocialiseerd behalve met mijzelf. Als ik bezoek krijg verstoppen ze zich over het algemeen en andere dieren kennen ze eigenlijk niet.

Nu ga ik in Juni 2,5 week weg, afgelopen jaar 1 week en toen heeft mijn moeder ze gevoerd ed, maar wil haar eigenlijk niet vragen om dit 2,5 week te doen. Dus zit ik aan een katten hotel te denken. Maar denken jullie dat mijn katten daar gelukkig zullen zijn met vreemde mensen en andere katten ? Zullen ze 2,5 week ongelukkig zijn, of zullen ze er na een dag of 2 wel gewend zijn ?
valentijn101maandag 20 november 2017 @ 22:05
quote:
99s.gif Op maandag 20 november 2017 21:58 schreef DaMook het volgende:
Vraagje, mijn 2 katten zijn totaal niet gesocialiseerd behalve met mijzelf. Als ik bezoek krijg verstoppen ze zich over het algemeen en andere dieren kennen ze eigenlijk niet.

Nu ga ik in Juni 2,5 week weg, afgelopen jaar 1 week en toen heeft mijn moeder ze gevoerd ed, maar wil haar eigenlijk niet vragen om dit 2,5 week te doen. Dus zit ik aan een katten hotel te denken. Maar denken jullie dat mijn katten daar gelukkig zullen zijn met vreemde mensen en andere katten ? Zullen ze 2,5 week ongelukkig zijn, of zullen ze er na een dag of 2 wel gewend zijn ?
Ik denk dat ze hun eigen huis het fijnst vinden. Misschien kun je behalve je moeder ook de buren/ vrienden/ oppas aan huis vragen?

Onze vorige kat was vroeger ook wat bang voor bezoek. Tot ze door had dat ze van bezoek lekkere hapjes kreeg. ;)
Cue_maandag 20 november 2017 @ 22:11
Bezoek moet je altijd eten laten geven, helpt altijd.
Daarbij moeten de gasten vaak niet veel aandacht van de kat willen vragen, komen ze uiteindelijk vanzelf vaak wel.
Cat-astrophemaandag 20 november 2017 @ 22:16
quote:
99s.gif Op maandag 20 november 2017 21:58 schreef DaMook het volgende:
Vraagje, mijn 2 katten zijn totaal niet gesocialiseerd behalve met mijzelf. Als ik bezoek krijg verstoppen ze zich over het algemeen en andere dieren kennen ze eigenlijk niet.

Nu ga ik in Juni 2,5 week weg, afgelopen jaar 1 week en toen heeft mijn moeder ze gevoerd ed, maar wil haar eigenlijk niet vragen om dit 2,5 week te doen. Dus zit ik aan een katten hotel te denken. Maar denken jullie dat mijn katten daar gelukkig zullen zijn met vreemde mensen en andere katten ? Zullen ze 2,5 week ongelukkig zijn, of zullen ze er na een dag of 2 wel gewend zijn ?
Ik heb ook zo’n tweetal. Als ik bezoek heb komen ze af en toe langs en eentje waagt het zowaar om aaien te komen halen, maar als ik op vakantie ben zien de catsits ze niet of nauwelijks.
Poosje geleden was ik een paar dagen weg en heb ik pension geprobeerd. Resultaat: twee bange katten die de vijf dagen dat ik weg was nauwelijks hebben gegeten. ;( Jammer genoeg wat langer ongelukkig geweest dan nodig, omdat niet duidelijk was dat ik catsits had geregeld als ze voortijds naar huis moesten komen. Maar ja, vijf dagen is te overzien.
Poezen wel meteen dolgelukkig toen we weer thuis kwamen O+

Misschien dat jouw katten het anders ervaren, maar zelf zou ik niet meteen 2,5 weken weg gaan en ze naar pension doen. Tenzij je back up hebt als het daar niet goed gaat. Maar ik zou eerder een proefperiode doen van een dag of vier, terwijl je zelf ook thuis bent. Merk je gauw genoeg of ze gaan wennen.

Mijn poezen blijven nu lekker thuis. Met voerverstrekkers.
Cat-astrophemaandag 20 november 2017 @ 22:17
quote:
0s.gif Op maandag 20 november 2017 22:11 schreef Cue_ het volgende:
Bezoek moet je altijd eten laten geven, helpt altijd.
Daarbij moeten de gasten vaak niet veel aandacht van de kat willen vragen, komen ze uiteindelijk vanzelf vaak wel.
Lol, die van mij zijn zo niet om te kopen _O-